Antibody data
- Antibody Data
- Antigen structure
- References [1]
- Comments [0]
- Validations
- Western blot [1]
- Immunoprecipitation [1]
Submit
Validation data
Reference
Comment
Report error
- Product number
- 10127-2-AP - Provider product page

- Provider
- Proteintech Group
- Proper citation
- Proteintech Cat#10127-2-AP, RRID:AB_2158964
- Product name
- PCDHA2 antibody
- Antibody type
- Polyclonal
- Description
- PCDHA2 antibody (Cat. #10127-2-AP) is a rabbit polyclonal antibody that shows reactivity with human, mouse, rat and has been validated for the following applications: IP, WB,ELISA.
- Reactivity
- Human, Mouse, Rat
- Host
- Rabbit
- Conjugate
- Unconjugated
- Isotype
- IgG
- Vial size
- 20ul, 150ul
Submitted references Using brain cell-type-specific protein interactomes to interpret neurodevelopmental genetic signals in schizophrenia.
Hsu YH, Pintacuda G, Liu R, Nacu E, Kim A, Tsafou K, Petrossian N, Crotty W, Suh JM, Riseman J, Martin JM, Biagini JC, Mena D, Ching JKT, Malolepsza E, Li T, Singh T, Ge T, Egri SB, Tanenbaum B, Stanclift CR, Apffel AM, Schizophrenia Working Group of the Psychiatric Genomics Consortium, Stanley Global Asia Initiatives, Carr SA, Schenone M, Jaffe J, Fornelos N, Huang H, Eggan KC, Lage K
iScience 2023 May 19;26(5):106701
iScience 2023 May 19;26(5):106701
No comments: Submit comment
Supportive validation
- Submitted by
- Proteintech Group (provider)
- Main image

- Experimental details
- human brain tissue were subjected to SDS PAGE followed by western blot with 10127-2-AP(PCDHA2 antibody) at dilution of 1:800
- Sample type
- tissue
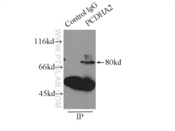
Supportive validation
- Submitted by
- Proteintech Group (provider)
- Main image

- Experimental details
- The PCDHA2 antibody from Proteintech is a rabbit polyclonal antibody to a recombinant protein of human PCDHA2. This antibody recognizes human,mouse,rat antigen. The PCDHA2 antibody has been validated for the following applications: ELISA, WB, IP analysis.