Antibody data
- Antibody Data
- Antigen structure
- References [0]
- Comments [0]
- Validations
- Immunohistochemistry [4]
Submit
Validation data
Reference
Comment
Report error
- Product number
- NBP2-39077 - Provider product page

- Provider
- Novus Biologicals
- Product name
- Rabbit Polyclonal ZNF572 Antibody
- Antibody type
- Polyclonal
- Description
- Immunogen affinity purified. Specificity of human ZNF572 antibody verified on a Protein Array containing target protein plus 383 other non-specific proteins.
- Reactivity
- Human
- Host
- Rabbit
- Isotype
- IgG
- Vial size
- 0.1 ml
- Storage
- Store at 4C short term. Aliquot and store at -20C long term. Avoid freeze-thaw cycles.
No comments: Submit comment
Supportive validation
- Submitted by
- Novus Biologicals (provider)
- Main image

- Experimental details
- Immunohistochemistry: ZNF572 Antibody [NBP2-39077] - Staining of human cerebral cortex shows moderate nuclear positivity in neuronal cells.
- Submitted by
- Novus Biologicals (provider)
- Main image

- Experimental details
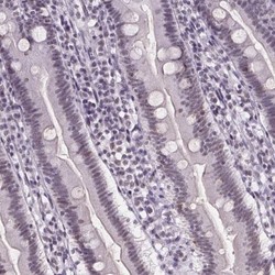
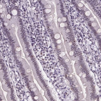
- Immunohistochemistry-Paraffin: ZNF572 Antibody [NBP2-39077] - Staining of human duodenum shows low expression as expected.
- Submitted by
- Novus Biologicals (provider)
- Main image

- Experimental details
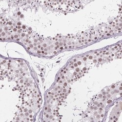
- Immunohistochemistry-Paraffin: ZNF572 Antibody [NBP2-39077] - Staining in human testis and duodenum tissues using anti-ZNF572 antibody. Corresponding ZNF572 RNA-seq data are presented for the same tissues.
- Submitted by
- Novus Biologicals (provider)
- Main image

- Experimental details
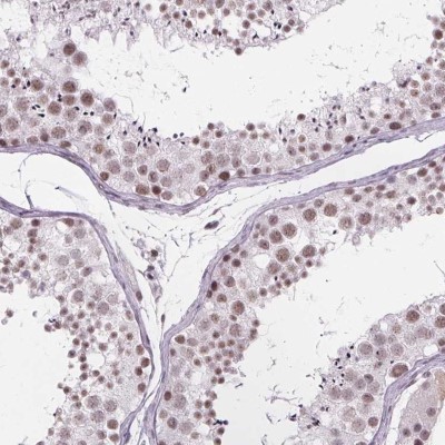
- Immunohistochemistry-Paraffin: ZNF572 Antibody [NBP2-39077] - Staining of human testis shows high expression.