Antibody data
- Antibody Data
- Antigen structure
- References [2]
- Comments [0]
- Validations
- Western blot [2]
- Immunohistochemistry [3]
Submit
Validation data
Reference
Comment
Report error
- Product number
- NBP1-32550 - Provider product page

- Provider
- Novus Biologicals
- Proper citation
- Novus Cat#NBP1-32550, RRID:AB_2085421
- Product name
- Rabbit Polyclonal COX5A Antibody
- Antibody type
- Polyclonal
- Description
- Immunogen affinity purified.
- Reactivity
- Human, Mouse
- Host
- Rabbit
- Isotype
- IgG
- Vial size
- 100 ul
- Storage
- Aliquot and store at -20C or -80C. Avoid freeze-thaw cycles.
Submitted references Polymorphic regulation of mitochondrial fission and fusion modifies phenotypes of microglia in neuroinflammation.
C1orf163/RESA1 is a novel mitochondrial intermembrane space protein connected to respiratory chain assembly.
Katoh M, Wu B, Nguyen HB, Thai TQ, Yamasaki R, Lu H, Rietsch AM, Zorlu MM, Shinozaki Y, Saitoh Y, Saitoh S, Sakoh T, Ikenaka K, Koizumi S, Ransohoff RM, Ohno N
Scientific reports 2017 Jul 10;7(1):4942
Scientific reports 2017 Jul 10;7(1):4942
C1orf163/RESA1 is a novel mitochondrial intermembrane space protein connected to respiratory chain assembly.
Kozjak-Pavlovic V, Prell F, Thiede B, Götz M, Wosiek D, Ott C, Rudel T
Journal of molecular biology 2014 Feb 20;426(4):908-20
Journal of molecular biology 2014 Feb 20;426(4):908-20
No comments: Submit comment
Supportive validation
- Submitted by
- Novus Biologicals (provider)
- Main image

- Experimental details
- Western Blot: COX5A Antibody [NBP1-32550] - Sample (50 ug of whole cell lysate) A: mouse brain 15% SDS PAGE; antibody diluted at 1:1000.
- Submitted by
- Novus Biologicals (provider)
- Main image

- Experimental details
- Western Blot: COX5A Antibody [NBP1-32550] - Sample(30 ug whole cell lysate)A:HeLa S3 B:Hep G2 15% SDS PAGE, antibody diluted at 1:5000.
Supportive validation
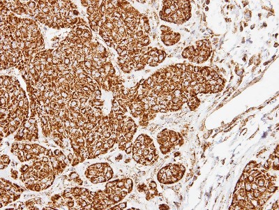
- Submitted by
- Novus Biologicals (provider)
- Main image

- Experimental details
- Immunohistochemistry-Paraffin: COX5A Antibody [NBP1-32550] - Paraffin-embedded Cal27 xenograft, using antibody at 1:500 dilution.
- Submitted by
- Novus Biologicals (provider)
- Main image

- Experimental details
- Immunohistochemistry-Paraffin: COX5A Antibody [NBP1-32550] - Paraffin-embedded mouse prostate. COX5A antibody [N1C3] diluted at 1:500.
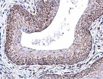
- Submitted by
- Novus Biologicals (provider)
- Main image

- Experimental details
- Immunohistochemistry-Paraffin: COX5A Antibody [NBP1-32550] - Paraffin-embedded mouse cervix. COX5A antibody [N1C3] diluted at 1:500.