Antibody data
- Antibody Data
- Antigen structure
- References [0]
- Comments [0]
- Validations
- Western blot [1]
- Immunocytochemistry [1]
- Immunohistochemistry [1]
Submit
Validation data
Reference
Comment
Report error
- Product number
- NBP2-30035 - Provider product page

- Provider
- Novus Biologicals
- Product name
- Rabbit Polyclonal Protocadherin beta 3 Antibody
- Antibody type
- Polyclonal
- Description
- Protein A purified.
- Reactivity
- Human
- Host
- Rabbit
- Isotype
- IgG
- Vial size
- 0.4 ml
- Concentration
- 0.4 mg/ml
- Storage
- Store at 4C short term. Aliquot and store at -20C long term. Avoid freeze-thaw cycles.
No comments: Submit comment
Supportive validation
- Submitted by
- Novus Biologicals (provider)
- Main image

- Experimental details
- Western Blot: Protocadherin beta 3 Antibody [NBP2-30035] - CEM cell line lysates (35ug/lane).This demonstrates the PCDHB3 antibody detected the PCDHB3 protein (arrow).
Supportive validation
- Submitted by
- Novus Biologicals (provider)
- Main image

- Experimental details
- Immunocytochemistry/Immunofluorescence: Protocadherin beta 3 Antibody [NBP2-30035] - Confocal immunofluorescent analysis of PCDHB3 Antibody (N-term)(NBP2-30035) with U-251MG cell followed by Alexa Fluor 488-conjugated goat anti-rabbit lgG (green). DAPI was used to stain the cell nuclear (blue).
Supportive validation
- Submitted by
- Novus Biologicals (provider)
- Main image

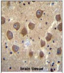
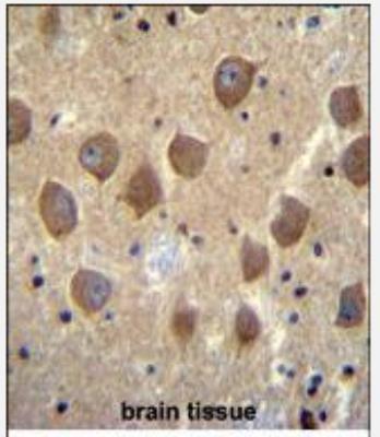
- Experimental details
- Immunohistochemistry-Paraffin: Protocadherin beta 3 Antibody [NBP2-30035] - Immunohistochemistry analysis in formalin fixed and paraffin embedded human brain tissue followed by peroxidase conjugation of the secondary antibody and DAB staining.This data demonstrates the use of PCDHB3 Antibody (N-term) for immunohistochemistry. Clinical relevance has not been evaluated.