Antibody data
- Antibody Data
- Antigen structure
- References [0]
- Comments [0]
- Validations
- Western blot [2]
- Immunoprecipitation [1]
- Immunohistochemistry [3]
Submit
Validation data
Reference
Comment
Report error
- Product number
- NBP1-28731 - Provider product page

- Provider
- Novus Biologicals
- Proper citation
- Novus Cat#NBP1-28731, RRID:AB_1914085
- Product name
- Rabbit Polyclonal CBX6 Antibody
- Antibody type
- Polyclonal
- Description
- Immunogen affinity purified.
- Reactivity
- Human, Mouse
- Host
- Rabbit
- Isotype
- IgG
- Vial size
- 100 ul
- Concentration
- 1.0 mg/ml
- Storage
- Store at 4C. Do not freeze.
No comments: Submit comment
Supportive validation
- Submitted by
- Novus Biologicals (provider)
- Main image

- Experimental details
- Western Blot: CBX6 Antibody [NBP1-28731] - Samples: Whole cell lysate from HeLa (5, 15 and 50 ug for WB; 1 mg for IP, 20% of IP loaded), 293T (T; 50 ug) and mouse NIH3T3 (T; 50 ug) cells. Antibodies: Affinity purified rabbit anti-CBX6 antibody NBP1-28731 used for WB at 0.1 ug/ml (A) and 1 ug/ml (B) and used for IP at 10 ug/mg lysate. CBX6 was also immunoprecipitated by rabbit anti-CBX6 antibody NBP1-28686, which recognizes a downstream epitope. Detection: Chemiluminescence with exposure times of 3 minutes (A) and 30 seconds (B).
- Submitted by
- Novus Biologicals (provider)
- Main image

- Experimental details
- Western Blot: CBX6 Antibody [NBP1-28731] - Detection of human and mouse CBX6 by western blot. Samples: Whole cell lysate (50 ug) from HeLa, HEK293T, Jurkat, mouse TCMK-1, and mouse NIH 3T3 cells prepared using NETN lysis buffer. Antibody: Affinity purified rabbit anti-CBX6 antibody NBP1-28731 used for WB at 0.1 ug/ml. Detection: Chemiluminescence with an exposure time of 3 minutes.
Supportive validation
- Submitted by
- Novus Biologicals (provider)
- Main image

- Experimental details
- Immunoprecipitation: CBX6 Antibody [NBP1-28731] - Detection of human CBX6 by western blot of immunoprecipitates. Samples: Whole cell lysate (1.0 mg per IP reaction; 20% of IP loaded) from HeLa cells prepared using NETN lysis buffer. Antibodies: Affinity purified rabbit anti-CBX6 antibody NBP1-28731 used for IP at 3 ug per reaction. CBX6 was also immunoprecipitated by another rabbit anti-CBX6 antibody. For blotting immunoprecipitated CBX6, NBP1-28731 was used at 1 ug/ml. Detection: Chemiluminescence with an exposure time of 30 seconds.
Supportive validation
- Submitted by
- Novus Biologicals (provider)
- Main image

- Experimental details
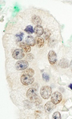
- Immunohistochemistry: CBX6 Antibody [NBP1-28731] - FFPE section of human prostate carcinoma. Antibody used at a dilution of 1:250. Detection: DAB staining using Immunohistochemistry Accessory Kit.
- Submitted by
- Novus Biologicals (provider)
- Main image

- Experimental details
- Immunohistochemistry: CBX6 Antibody [NBP1-28731] - Sample: FFPE section of human prostate carcinoma. Antibody: Affinity purified rabbit anti-CBX6 used at a dilution of 1:1,000 (1ug/ml). Detection: DAB staining using Immunohistochemistry Accessory Kit .
- Submitted by
- Novus Biologicals (provider)
- Main image

- Experimental details
- Immunohistochemistry-Paraffin: CBX6 Antibody [NBP1-28731] - Section of human prostate carcinoma. Antibody: Affinity purified rabbit anti-CBX6 (NBP1-28731). Detection: DAB