Antibody data
- Antibody Data
- Antigen structure
- References [0]
- Comments [0]
- Validations
- Western blot [2]
- Immunohistochemistry [2]
Submit
Validation data
Reference
Comment
Report error
- Product number
- R34073 - Provider product page

- Provider
- NSJ Bioreagents
- Product name
- Septin 1 Antibody / SEPT1
- Antibody type
- Polyclonal
- Description
- This highly specific Septin 1 antibody is suitable for use in Western blot/Immunohistochemistry/ELISA applications with human samples.
- Reactivity
- Human
- Host
- Goat
- Conjugate
- Unconjugated
- Vial size
- 100 ug
- Concentration
- 0.5 mg/ml in 1X TBS, pH7.3, with 0.5% BSA (US sourced) and 0.02% sodium azide
- Storage
- Aliquot and store the Septin 1 antibody at -20oC.
No comments: Submit comment
Supportive validation
- Submitted by
- NSJ Bioreagents (provider)
- Main image

- Experimental details
- Western blot testing of Jurkat lysate with Septin 1 antibody at 2ug/ml. Predicted molecular weight: ~42kDa.
- Submitted by
- NSJ Bioreagents (provider)
- Main image

- Experimental details
- Western blot testing of Jurkat lysate with Septin 1 antibody at 2ug/ml. Predicted molecular weight: ~42kDa.
Supportive validation
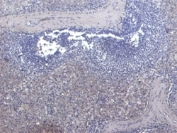
- Submitted by
- NSJ Bioreagents (provider)
- Main image

- Experimental details
- IHC staining of FFPE human spleen tissue with Septin 1 antibody at 6ug/ml. Required HIER: steamed antigen retrieval with pH6 citrate buffer.
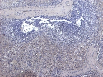
- Submitted by
- NSJ Bioreagents (provider)
- Main image

- Experimental details
- Negative control: IHC staining of FFPE human spleen tissue without Septin 1 antibody. Required HIER: steamed antigen retrieval with pH6 citrate buffer.