Antibody data
- Antibody Data
- Antigen structure
- References [0]
- Comments [0]
- Validations
- Other assay [3]
Submit
Validation data
Reference
Comment
Report error
- Product number
- STJ70997 - Provider product page

- Provider
- St John's Laboratory
- Product name
- Anti-Septin 1/SEPT1 antibody (Internal) (STJ70997)
- Antibody type
- Polyclonal
- Description
- Goat polyclonal antibody anti-Septin 1/SEPT1 (Internal) is suitable for use in ELISA, Western Blot and Immunofluorescence research applications.
- Reactivity
- Human, Mouse, Rat, Canine
- Host
- Goat
- Conjugate
- Unconjugated
- Antigen sequence
GARDRASRSKLSRQ- Epitope
- NA
- Isotype
- IgG
- Antibody clone number
- NA
- Vial size
- NA
- Concentration
- NA
- Storage
- Store at-20 on receipt and minimise freeze-thaw cycles.
- Handling
- NA
No comments: Submit comment
Supportive validation
Supportive validation
Supportive validation
- Submitted by
- St John's Laboratory (provider)
- Main image

- Experimental details
- STJ70997 (1µg/ml) staining of HEK293 (A) and (2ug/ml) MOLT-4 (B) cell lysate (35µg protein in RIPA buffer). Detected by chemiluminescence
- Sample type
- NA
- Validation comment
- NA
- Primary Ab dilution
- NA
- Other comments
- NA
- Secondary Ab
- NA
- Secondary Ab dilution
- NA
- Protocol
- NA
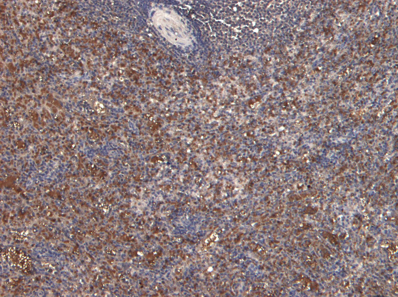
Supportive validation
- Submitted by
- St John's Laboratory (provider)
- Main image

- Experimental details
- STJ70997 (6µg/ml) staining of paraffin embedded Human Spleen. Heat induced antigen retrieval with citrate buffer pH 6, HRP-staining.
- Sample type
- NA
- Validation comment
- NA
- Primary Ab dilution
- NA
- Other comments
- NA
- Secondary Ab
- NA
- Secondary Ab dilution
- NA
- Protocol
- NA
Supportive validation
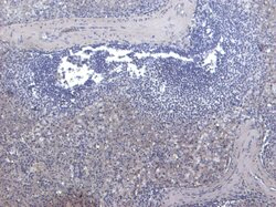
- Submitted by
- St John's Laboratory (provider)
- Main image

- Experimental details
- STJ70997 Negative Control showing staining of paraffin embedded Human Spleen, with no primary antibody.
- Sample type
- NA
- Validation comment
- NA
- Primary Ab dilution
- NA
- Other comments
- NA
- Secondary Ab
- NA
- Secondary Ab dilution
- NA
- Protocol
- NA