Antibody data
- Antibody Data
- Antigen structure
- References [0]
- Comments [0]
- Validations
- Western blot [4]
- Immunocytochemistry [1]
- Immunohistochemistry [3]
- Flow cytometry [1]
Submit
Validation data
Reference
Comment
Report error
- Product number
- TA503310S - Provider product page

- Provider
- Invitrogen Antibodies
- Product name
- PTPN1 Monoclonal Antibody (OTI1D10), TrueMAB™
- Antibody type
- Monoclonal
- Antigen
- Recombinant full-length protein
- Reactivity
- Human, Canine
- Host
- Mouse
- Isotype
- IgG
- Antibody clone number
- OTI1D10
- Vial size
- 30 µL
- Concentration
- 1 mg/mL
- Storage
- -20° C, Avoid Freeze/Thaw Cycles
No comments: Submit comment
Supportive validation
- Submitted by
- Invitrogen Antibodies (provider)
- Main image

- Experimental details
- HEK293T cells were transfected with the pCMV6-ENTRY control (Left lane) or pCMV6-ENTRY PTPN1 (RC204902, Right lane) cDNA for 48 hrs and lysed. Equivalent amounts of cell lysates (5 µg per lane) were separated by SDS-PAGE and immunoblotted with anti-PTPN1. Positive lysates LY419087 (100 µg) and LC419087 (20 µg) can be purchased separately from OriGene.
- Submitted by
- Invitrogen Antibodies (provider)
- Main image

- Experimental details
- HEK293T cells were transfected with the pCMV6-ENTRY control (Left lane) or pCMV6-ENTRY PTPN1 (RC204902, Right lane) cDNA for 48 hrs and lysed. Equivalent amounts of cell lysates (5 µg per lane) were separated by SDS-PAGE and immunoblotted with anti-PTPN1. Positive lysates LY419087 (100 µg) and LC419087 (20 µg) can be purchased separately from OriGene.
- Submitted by
- Invitrogen Antibodies (provider)
- Main image

- Experimental details
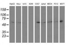
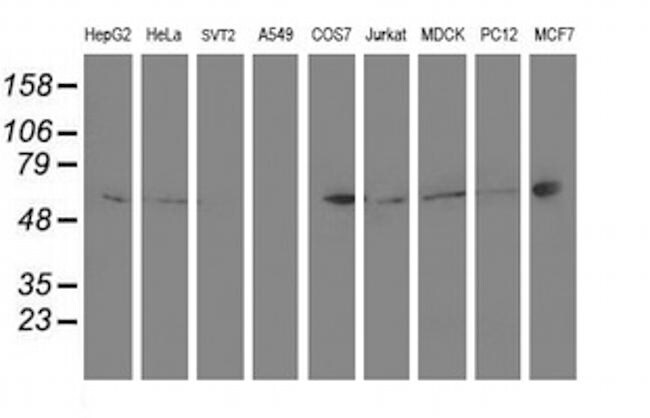
- Western blot analysis of extracts (35 µg) from 9 different cell lines by using anti-PTPN1 monoclonal antibody.
- Submitted by
- Invitrogen Antibodies (provider)
- Main image

- Experimental details
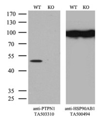
- Equivalent amounts of cell lysates (10 µg per lane) of wild-type Hela cells (WT, Cat# LC810HELA) and PTPN1-Knockout Hela cells (KO, Cat# LC810193) were separated by SDS-PAGE and immunoblotted with anti-PTPN1 monoclonal antibody TA503310. Then the blotted membrane was stripped and reprobed with anti-HSP90AB1 antibody (TA500494) as a loading control. (1:500)
Supportive validation
- Submitted by
- Invitrogen Antibodies (provider)
- Main image

- Experimental details
- Anti-PTPN1 mouse monoclonal antibody (TA503310) immunofluorescent staining of COS7 cells transiently transfected by pCMV6-ENTRY PTPN1(RC204902).
Supportive validation
- Submitted by
- Invitrogen Antibodies (provider)
- Main image

- Experimental details
- Immunohistochemical staining of paraffin-embedded human lymph node tissue within the normal limits using anti-PTPN1 mouse monoclonal antibody. (Heat-induced epitope retrieval by 10mM citric buffer, pH6.0, 100°C for 10min, TA503310)
- Submitted by
- Invitrogen Antibodies (provider)
- Main image

- Experimental details
- Immunohistochemical staining of paraffin-embedded human lymphoma tissue using anti-PTPN1 mouse monoclonal antibody. (Heat-induced epitope retrieval by 10mM citric buffer, pH6.0, 100°C for 10min, TA503310)
- Submitted by
- Invitrogen Antibodies (provider)
- Main image

- Experimental details
- Immunohistochemical staining of paraffin-embedded human colon tissue within the normal limits using anti-PTPN1 mouse monoclonal antibody. (Heat-induced epitope retrieval by 10mM citric buffer, pH6.0, 100°C for 10min, TA503310)
Supportive validation
- Submitted by
- Invitrogen Antibodies (provider)
- Main image

- Experimental details
- HEK293T cells transfected with either RC204902 overexpress plasmid (Red) or empty vector control plasmid (Blue) were immunostained by anti-PTPN1 antibody (TA503310), and then analyzed by flow cytometry.