Antibody data
- Antibody Data
- Antigen structure
- References [0]
- Comments [0]
- Validations
- Immunohistochemistry [4]
Submit
Validation data
Reference
Comment
Report error
- Product number
- PA5-53563 - Provider product page

- Provider
- Invitrogen Antibodies
- Product name
- MAN2A2 Polyclonal Antibody
- Antibody type
- Polyclonal
- Antigen
- Recombinant protein fragment
- Description
- Immunogen sequence: HHDAITGTAK EAVVVDYGVR LLRSLVNLKQ VIIHAAHYLV LGDKETYHFD PEAPFLQVDD TRLSHDALPE RTVIQLDSSP RFVVLFNPLE QERFSMVSLL VNSPRVRVLS EEGQPLAVQI SAHWSSATEA VPDVYQVSVP Highest antigen sequence identity to the following orthologs: Mouse - 88%, Rat - 89%.
- Reactivity
- Human
- Host
- Rabbit
- Isotype
- IgG
- Vial size
- 100 μL
- Concentration
- 0.05 mg/mL
- Storage
- Store at 4°C short term. For long term storage, store at -20°C, avoiding freeze/thaw cycles.
No comments: Submit comment
Supportive validation
- Submitted by
- Invitrogen Antibodies (provider)
- Main image

- Experimental details
- Immunohistochemical staining of MAN2A2 in human thyroid gland using MAN2A2 Polyclonal Antibody (Product # PA5-53563) shows moderate to strong cytoplasmic positivity in glandular cells.
- Submitted by
- Invitrogen Antibodies (provider)
- Main image

- Experimental details
- Immunohistochemical staining of MAN2A2 in human pancreas using MAN2A2 Polyclonal Antibody (Product # PA5-53563) shows no cytoplasmic positivity in exocrine glandular cells as expected.
- Submitted by
- Invitrogen Antibodies (provider)
- Main image

- Experimental details
- Immunohistochemical staining of MAN2A2 in human cerebral cortex using MAN2A2 Polyclonal Antibody (Product # PA5-53563) shows moderate to strong cytoplasmic positivity in neurons.
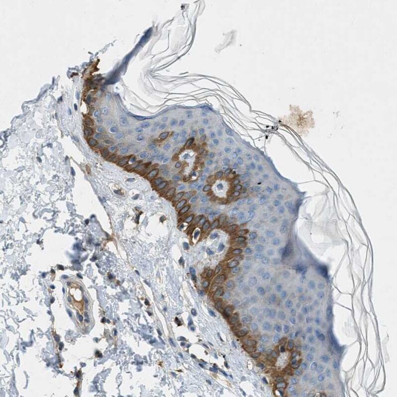
- Submitted by
- Invitrogen Antibodies (provider)
- Main image

- Experimental details
- Immunohistochemical staining of MAN2A2 in human skin using MAN2A2 Polyclonal Antibody (Product # PA5-53563) shows moderate to strong cytoplasmic positivity in epidermal cells.