Antibody data
- Antibody Data
- Antigen structure
- References [5]
- Comments [0]
- Validations
- Western blot [1]
- Immunohistochemistry [2]
Submit
Validation data
Reference
Comment
Report error
- Product number
- 13741-1-AP - Provider product page

- Provider
- Proteintech Group
- Proper citation
- Proteintech Cat#13741-1-AP, RRID:AB_2205772
- Product name
- TPM4 antibody
- Antibody type
- Polyclonal
- Description
- TPM4 antibody (Cat. #13741-1-AP) is a rabbit polyclonal antibody that shows reactivity with human, mouse, rat and has been validated for the following applications: IHC, IP, WB,ELISA.
- Reactivity
- Human, Mouse, Rat
- Host
- Rabbit
- Conjugate
- Unconjugated
- Isotype
- IgG
- Vial size
- 20ul, 150ul
Submitted references The expression and clinical significance of TPM4 in hepatocellular carcinoma.
WHSC1 Promotes Cell Proliferation, Migration, and Invasion in Hepatocellular Carcinoma by Activating mTORC1 Signaling.
Differentially expressed proteins identified by TMT proteomics analysis in bone marrow microenvironment of osteoporotic patients.
Ehrlichia chaffeensis TRP75 Interacts with Host Cell Targets Involved in Homeostasis, Cytoskeleton Organization, and Apoptosis Regulation To Promote Infection.
Network of brain protein level changes in glutaminase deficient fetal mice.
Li L, Ye T, Zhang Q, Li X, Ma L, Yan J
International journal of medical sciences 2021;18(1):169-175
International journal of medical sciences 2021;18(1):169-175
WHSC1 Promotes Cell Proliferation, Migration, and Invasion in Hepatocellular Carcinoma by Activating mTORC1 Signaling.
Dai J, Jiang L, Qiu L, Shao Y, Shi P, Li J
OncoTargets and therapy 2020;13:7033-7044
OncoTargets and therapy 2020;13:7033-7044
Differentially expressed proteins identified by TMT proteomics analysis in bone marrow microenvironment of osteoporotic patients.
Zhou Q, Xie F, Zhou B, Wang J, Wu B, Li L, Kang Y, Dai R, Jiang Y
Osteoporosis international : a journal established as result of cooperation between the European Foundation for Osteoporosis and the National Osteoporosis Foundation of the USA 2019 May;30(5):1089-1098
Osteoporosis international : a journal established as result of cooperation between the European Foundation for Osteoporosis and the National Osteoporosis Foundation of the USA 2019 May;30(5):1089-1098
Ehrlichia chaffeensis TRP75 Interacts with Host Cell Targets Involved in Homeostasis, Cytoskeleton Organization, and Apoptosis Regulation To Promote Infection.
Luo T, Mitra S, McBride JW
mSphere 2018 Apr 25;3(2)
mSphere 2018 Apr 25;3(2)
Network of brain protein level changes in glutaminase deficient fetal mice.
Bae N, Wang Y, Li L, Rayport S, Lubec G
Journal of proteomics 2013 Mar 27;80:236-49
Journal of proteomics 2013 Mar 27;80:236-49
No comments: Submit comment
Supportive validation
- Submitted by
- Proteintech Group (provider)
- Main image

- Experimental details
- mouse heart tissue were subjected to SDS PAGE followed by western blot with 13741-1-AP(TPM4 antibody) at dilution of 1:100
- Sample type
- tissue
Supportive validation
- Submitted by
- Proteintech Group (provider)
- Main image

- Experimental details
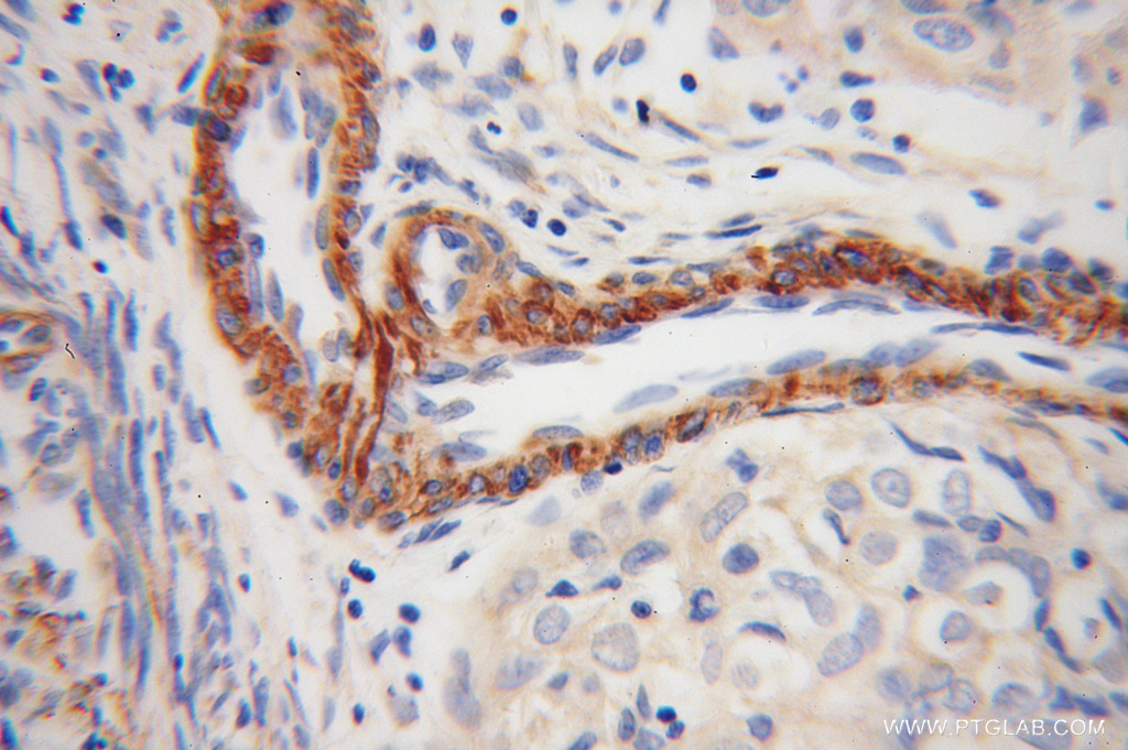
- Immunohistochemical of paraffin-embedded human endometrial cancer using 13741-1-AP(TPM4 antibody) at dilution of 1:100 (under 10x lens)
- Sample type
- tissue
- Submitted by
- Proteintech Group (provider)
- Main image

- Experimental details
- The TPM4 antibody from Proteintech is a rabbit polyclonal antibody to a recombinant protein of human TPM4. This antibody recognizes human, mouse, rat antigen. The TPM4 antibody has been validated for the following applications: ELISA, WB, IHC analysis.