Antibody data
- Antibody Data
- Antigen structure
- References [0]
- Comments [0]
- Validations
- Immunohistochemistry [1]
Submit
Validation data
Reference
Comment
Report error
- Product number
- NBP1-77933 - Provider product page

- Provider
- Novus Biologicals
- Proper citation
- Novus Cat#NBP1-77933, RRID:AB_11018933
- Product name
- Rabbit Polyclonal ASAP1 Antibody
- Antibody type
- Polyclonal
- Description
- Immunogen affinity purified. This antibody is directed against the phosphorylated form of mouse ASAP1 protein at the pY782 residue.
- Reactivity
- Human, Mouse, Rat, Bovine, Canine, Chicken/Avian
- Host
- Rabbit
- Isotype
- IgG
- Vial size
- 0.1 mg
- Concentration
- 1.09 mg/ml
- Storage
- Store at -20C. Avoid freeze-thaw cycles.
No comments: Submit comment
Supportive validation
- Submitted by
- Novus Biologicals (provider)
- Main image

- Experimental details
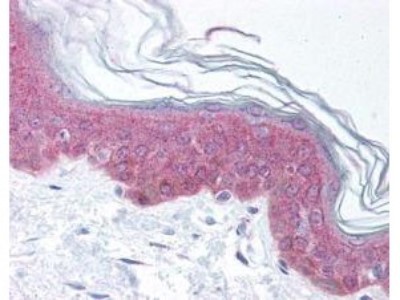
- Immunohistochemistry: ASAP1 [p Tyr782] Antibody [NBP1-77933] - Used at 20 g/ml to detect signal in a variety of tissues including multi-human, multi-brain and multi-cancer slides. This image shows moderate intracellular positive staining in epidermal keratinocytes in human skin at 40X. Tissue was formalin-fixed and paraffin embedded. The image shows localization of the antibody as the precipitated red signal, with a hematoxylin purple nuclear counterstain. Personal Communication, Tina Roush, LifeSpanBiosciences, Seattle, WA.