Antibody data
- Antibody Data
- Antigen structure
- References [0]
- Comments [0]
- Validations
- Western blot [2]
- Immunohistochemistry [3]
Submit
Validation data
Reference
Comment
Report error
- Product number
- LS-C379719 - Provider product page

- Provider
- LSBio
- Product name
- LDAH Antibody LS-C379719
- Antibody type
- Polyclonal
- Description
- Protein G purified
- Reactivity
- Human
- Host
- Rabbit
- Isotype
- IgG
- Storage
- Short term: -20°C; Long term: -80°C; Avoid freeze-thaw cycles.
No comments: Submit comment
Enhanced validation
- Submitted by
- LSBio (provider)
- Enhanced method
- Genetic validation
- Main image

- Experimental details
- Western blot. All lanes: LDAH antibody at 8 ug/ml. Lane 1: HeLa whole cell lysate. Lane 2: Jurkat whole cell lysate. Lane 3: A431 whole cell lysate. Secondary Goat polyclonal to Rabbit IgG at 1:10000 dilution. Predicted band size: 37 kDa. Observed band size: 37 kDa.
- Submitted by
- LSBio (provider)
- Enhanced method
- Genetic validation
- Main image

- Experimental details
- Western blot All lanes: LDAH antibody at 8µg/ml Lane 1: Hela whole cell lysate Lane 2: Jurkat whole cell lysate Lane 3: A431 whole cell lysate Secondary Goat polyclonal to rabbit IgG at 1/10000 dilution Predicted band size: 38, 33, 23 kDa Observed band size: 38 kDa
Supportive validation
- Submitted by
- LSBio (provider)
- Enhanced method
- Genetic validation
- Main image

- Experimental details
- Immunohistochemistry of paraffin-embedded human testis tissue using antibody at dilution of 1:100.
- Submitted by
- LSBio (provider)
- Enhanced method
- Genetic validation
- Main image

- Experimental details
- Immunohistochemistry of paraffin-embedded human adrenal gland tissue using antibody at dilution of 1:100.
- Submitted by
- LSBio (provider)
- Enhanced method
- Genetic validation
- Main image

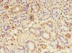
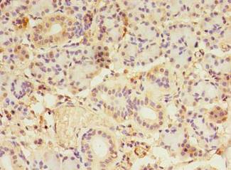
- Experimental details
- Immunohistochemistry of paraffin-embedded human pancreatic tissue using antibody at dilution of 1:100.