Antibody data
- Antibody Data
- Antigen structure
- References [0]
- Comments [0]
- Validations
- Western blot [1]
- Immunohistochemistry [4]
Submit
Validation data
Reference
Comment
Report error
- Product number
- LS-C829955 - Provider product page

- Provider
- LSBio
- Product name
- LDAH Antibody LS-C829955
- Antibody type
- Polyclonal
- Description
- Antigen Affinity purification
- Reactivity
- Human
- Host
- Rabbit
- Isotype
- IgG
- Storage
- Store at -20°C. Avoid freeze-thaw cycles.
No comments: Submit comment
Enhanced validation
- Submitted by
- LSBio (provider)
- Enhanced method
- Genetic validation
- Main image

- Experimental details
- Western blot analysis of HEPG2 cell lysate using LDAH Polyclonal Antibody at dilution of 1:600
Enhanced validation
- Submitted by
- LSBio (provider)
- Enhanced method
- Genetic validation
- Main image

- Experimental details
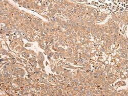
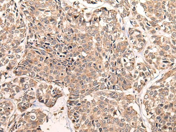
- Immunohistochemistry of paraffin-embedded Human esophagus cancer tissue using LDAH Polyclonal Antibody at dilution of 1:55(×200)
- Submitted by
- LSBio (provider)
- Enhanced method
- Genetic validation
- Main image

- Experimental details
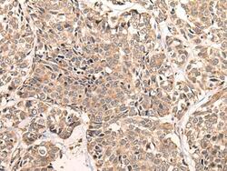
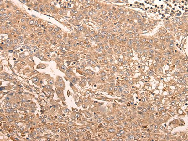
- Immunohistochemistry of paraffin-embedded Human liver cancer tissue using LDAH Polyclonal Antibody at dilution of 1:55(×200)
- Submitted by
- LSBio (provider)
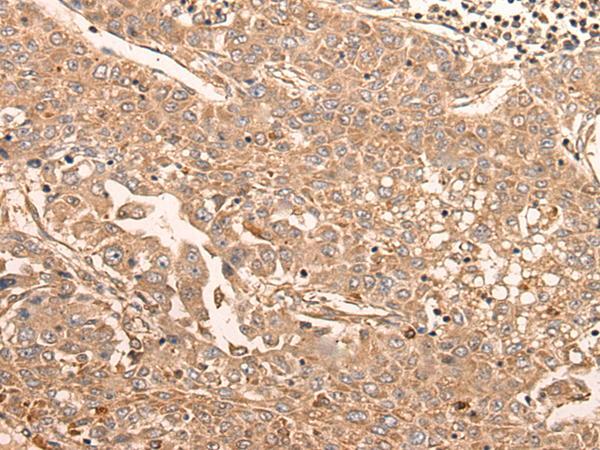
- Main image

- Experimental details
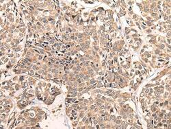
- Immunohistochemistry of paraffin-embedded Human liver cancer tissue using LDAH Polyclonal Antibody at dilution of 1:55(×200)
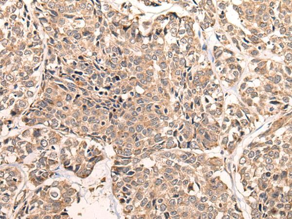
- Submitted by
- LSBio (provider)
- Main image

- Experimental details
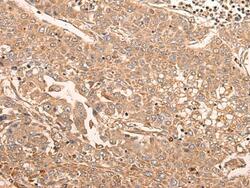
- Immunohistochemistry of paraffin-embedded Human esophagus cancer tissue using LDAH Polyclonal Antibody at dilution of 1:55(×200)