Antibody data
- Antibody Data
- Antigen structure
- References [0]
- Comments [0]
- Validations
- Western blot [2]
- Immunohistochemistry [1]
Submit
Validation data
Reference
Comment
Report error
- Product number
- AP50601PU-N - Provider product page

- Provider
- Acris Antibodies GmbH
- Proper citation
- Acris Antibodies GmbH Cat#AP50601PU-N, RRID:AB_11146938
- Product name
- anti C2orf43 (C-term)
- Antibody type
- Polyclonal
- Antigen
- KLH conjugated synthetic peptide between 271-302 amino acids from the C-terminal region of human C2orf43
- Reactivity
- Human, Mouse
- Host
- Rabbit
- Vial size
- 0.1 mg
- Concentration
- 0.25 mg/ml
No comments: Submit comment
Supportive validation
- Submitted by
- Acris Antibodies GmbH (provider)
- Main image

- Experimental details
- C2orf43 Antibody (C-term) (Cat. #AP50601PU-N) western blot analysis in HepG2 cell line lysates (35µg/lane).This demonstrates the C2orf43 antibody detected the C2orf43 protein (arrow).
- Submitted by
- Acris Antibodies GmbH (provider)
- Main image

- Experimental details
- C2orf43 Antibody (C-term) (Cat. #AP50601PU-N) western blot analysis in mouse heart tissue lysates (35µg/lane).This demonstrates the C2orf43 antibody detected the C2orf43 protein (arrow).
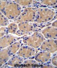
Supportive validation
- Submitted by
- Acris Antibodies GmbH (provider)
- Main image

- Experimental details
- C2orf43 Antibody (C-term) (Cat. #AP50601PU-N)immunohistochemistry analysis in formalin fixed and paraffin embedded human stomach tissue followed by peroxidase conjugation of the secondary antibody and DAB staining.This data demonstrates the use of C2orf43 Antibody (C-term) for immunohistochemistry. Clinical relevance has not been evaluated.