Antibody data
- Antibody Data
- Antigen structure
- References [0]
- Comments [0]
- Validations
- Western blot [2]
- Immunohistochemistry [4]
- Flow cytometry [1]
Submit
Validation data
Reference
Comment
Report error
- Product number
- RQ8615 - Provider product page

- Provider
- NSJ Bioreagents
- Product name
- LDAH Antibody / Lipid droplet-associated serine hydrolase
- Antibody type
- Polyclonal
- Description
- This highly specific LDAH antibody is suitable for use in Western blot/Immunohistochemistry/Flow cytometry/ELISA applications with human, mouse and rat, monkey samples.
- Reactivity
- Human, Mouse, Rat, Simian
- Host
- Rabbit
- Conjugate
- Unconjugated
- Vial size
- 100 ug
- Concentration
- 0.5mg/ml if reconstituted with 0.2ml sterile DI water
- Storage
- After reconstitution, the LDAH antibody can be stored for up to one month at 4oC. For long-term, aliquot and store at -20oC. Avoid repeated freezing and thawing.
No comments: Submit comment
Supportive validation
- Submitted by
- NSJ Bioreagents (provider)
- Main image

- Experimental details
- Western blot testing of 1) rat brain, 2) rat liver, 3) rat kidney, 4) rat RH35, 5) mouse brain, 6) mouse liver, 7) mouse kidney, 8) mouse NIH 3T3 cell lysate with LDAH antibody. Predicted molecular weight ~37 kDa.
- Submitted by
- NSJ Bioreagents (provider)
- Main image

- Experimental details
- Western blot testing of 1) human HeLa, 2) human Jurkat, 3) human A431, 4) human MCF7, 5) monkey COS7, 6) human SK-N-SH, 7) human SH-SY5Y and 8) human K562 cell lysate with LDAH antibody. Predicted molecular weight ~37 kDa.
Supportive validation
- Submitted by
- NSJ Bioreagents (provider)
- Main image

- Experimental details
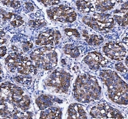
- IHC staining of FFPE human liver cancer tissue with LDAH antibody. HIER: boil tissue sections in pH8 EDTA for 20 min and allow to cool before testing.
- Submitted by
- NSJ Bioreagents (provider)
- Main image

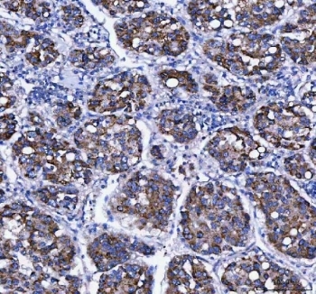
- Experimental details
- IHC staining of FFPE human lung cancer tissue with LDAH antibody. HIER: boil tissue sections in pH8 EDTA for 20 min and allow to cool before testing.
- Submitted by
- NSJ Bioreagents (provider)
- Main image

- Experimental details
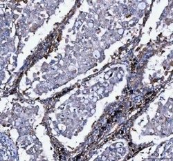
- IHC staining of FFPE human glioma tissue with LDAH antibody. HIER: boil tissue sections in pH8 EDTA for 20 min and allow to cool before testing.
- Submitted by
- NSJ Bioreagents (provider)
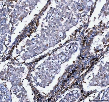
- Main image

- Experimental details
- IHC staining of FFPE rat alcoholic liver tissue with LDAH antibody. HIER: boil tissue sections in pH8 EDTA for 20 min and allow to cool before testing.
Supportive validation
- Submitted by
- NSJ Bioreagents (provider)
- Main image

- Experimental details
- Flow cytometry testing of fixed and permeabilized human JK cells with LDAH antibody at 1ug/million cells (blocked with goat sera); Red=cells alone, Green=isotype control, Blue= LDAH antibody.