PA5-59263
antibody from Invitrogen Antibodies
Targeting: ZMIZ2
DKFZp761I2123, hZIMP7, KIAA1886, NET27, ZIMP7
Antibody data
- Antibody Data
- Antigen structure
- References [0]
- Comments [0]
- Validations
- Immunocytochemistry [1]
- Immunohistochemistry [4]
Submit
Validation data
Reference
Comment
Report error
- Product number
- PA5-59263 - Provider product page

- Provider
- Invitrogen Antibodies
- Product name
- ZMIZ2 Polyclonal Antibody
- Antibody type
- Polyclonal
- Antigen
- Recombinant protein fragment
- Description
- Immunogen sequence: LMPSVMEMIA ALGPGAAPFA PLQPPSVPAP SDYPGQGSSF LGPGTFPESF PPTTPSTPTL AEFTPGPPPI SYQSDIPSSL LTSEKSTACL PSQMAPAGHL DPTHNPGTPG LHTSNL Highest antigen sequence identity to the following orthologs: Mouse - 85%, Rat - 85%.
- Reactivity
- Human
- Host
- Rabbit
- Isotype
- IgG
- Vial size
- 100 μL
- Concentration
- 0.1 mg/mL
- Storage
- Store at 4°C short term. For long term storage, store at -20°C, avoiding freeze/thaw cycles.
No comments: Submit comment
Supportive validation
- Submitted by
- Invitrogen Antibodies (provider)
- Main image

- Experimental details
- Immunofluorecent analysis of ZMIZ2 in human cell line A-431 using ZMIZ2 Polyclonal Antibody (Product # PA5-59263). Staining shows localization to nucleoplasm.
Supportive validation
- Submitted by
- Invitrogen Antibodies (provider)
- Main image

- Experimental details
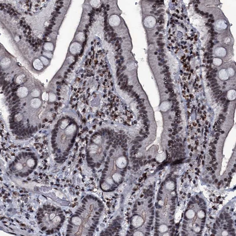
- Immunohistochemical analysis of ZMIZ2 in human duodenum using ZMIZ2 Polyclonal Antibody (Product # PA5-59263) shows strong nuclear positivity in glandular cells.
- Submitted by
- Invitrogen Antibodies (provider)
- Main image

- Experimental details
- Immunohistochemical analysis of ZMIZ2 in human cerebral cortex using ZMIZ2 Polyclonal Antibody (Product # PA5-59263) shows strong nuclear positivity in neurons.
- Submitted by
- Invitrogen Antibodies (provider)
- Main image

- Experimental details
- Immunohistochemical analysis of ZMIZ2 in human cervix using ZMIZ2 Polyclonal Antibody (Product # PA5-59263) shows strong nuclear positivity in squamous epithelial cells.
- Submitted by
- Invitrogen Antibodies (provider)
- Main image

- Experimental details
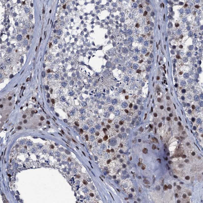
- Immunohistochemical analysis of ZMIZ2 in human testis using ZMIZ2 Polyclonal Antibody (Product # PA5-59263) shows strong nuclear positivity in Leydig cells and cells in seminiferous ducts.