Antibody data
- Antibody Data
- Antigen structure
- References [0]
- Comments [0]
- Validations
- Western blot [1]
- Immunohistochemistry [1]
- Other assay [1]
Submit
Validation data
Reference
Comment
Report error
- Product number
- PA5-61628 - Provider product page

- Provider
- Invitrogen Antibodies
- Product name
- Anti-USP38 Polyclonal Antibody
- Antibody type
- Polyclonal
- Antigen
- Recombinant full-length protein
- Description
- Immunogen sequence: YSYARNITST DSSYQMYHQS EALALASSQS HLLGRDSPSA VFEQDLENKE MSKEWFLFND SRVTFTSFQS VQ Highest antigen sequence identity to the following orthologs: Mouse - 82%, Rat - 79%.
- Reactivity
- Human
- Host
- Rabbit
- Isotype
- IgG
- Vial size
- 100 µl
- Concentration
- 0.1 mg/mL
- Storage
- Store at 4°C short term. For long term storage, store at -20°C, avoiding freeze/thaw cycles.
No comments: Submit comment
Supportive validation
- Submitted by
- Invitrogen Antibodies (provider)
- Main image

- Experimental details
- Western blot analysis of USP38 in control (vector only transfected HEK293T lysate) and USP38 over-expression lysate (Co-expressed with a C-terminal myc-DDK tag (~3.1 kDa) in mammalian HEK293T cells). Samples were probed using a USP38 Polyclonal Antibody (Product # PA5-61628).
Supportive validation
- Submitted by
- Invitrogen Antibodies (provider)
- Main image

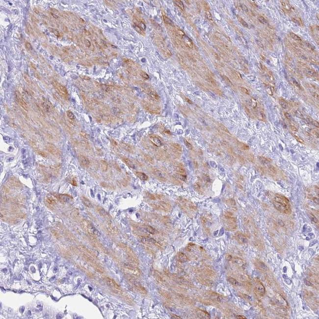
- Experimental details
- Immunohistochemical staining of USP38 in human smooth muscle shows distinct cytoplasmic positivity in smooth muscle cells. Samples were probed using an USP38 Polyclonal Antibody (Product # PA5-61628).
Supportive validation
- Submitted by
- Invitrogen Antibodies (provider)
- Main image

- Experimental details
- Immunofluorescent staining of USP38 in human cell line PC-3 using an USP38 Polyclonal Antibody (Product # PA5-61628) shows localization to nucleoplasm and cytosol.