Antibody data
- Antibody Data
- Antigen structure
- References [0]
- Comments [0]
- Validations
- Western blot [1]
- Immunocytochemistry [1]
- Immunohistochemistry [1]
Submit
Validation data
Reference
Comment
Report error
- Product number
- PAB29451 - Provider product page

- Provider
- Abnova Corporation
- Product name
- BAT3 polyclonal antibody
- Antibody type
- Polyclonal
- Description
- Rabbit polyclonal antibody raised against recombinant human BAT3.
- Antigen sequence
SDAYLSGMPAKRRKTMQGEGPQLLLSEAVSRAAKA
AGARPLTSPESLSRDLEAPEVQESYRQQLRSDIQK
RLQEDPNYS- Isotype
- IgG
- Storage
- Store at 4°C. For long term storage store at -20°C.Aliquot to avoid repeated freezing and thawing.
No comments: Submit comment
Supportive validation
- Submitted by
- Abnova Corporation (provider)
- Main image

- Experimental details
- Western blot analysis of Lane 1: Human cell line RT-4 Lane 2: Human cell line U-251MG with BAT3 polyclonal antibody (Cat # PAB29451) at 1:250-1:500 dilution.
Supportive validation
- Submitted by
- Abnova Corporation (provider)
- Main image

- Experimental details
- Immunofluorescent staining of human cell line A-431 with BAT3 polyclonal antibody (Cat # PAB29451) at 1-4 ug/mL concentration shows positivity in cytoplasm and nucleus but excluded from the nucleoli.
- Validation comment
- Immunofluorescence
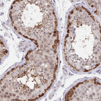
Supportive validation
- Submitted by
- Abnova Corporation (provider)
- Main image

- Experimental details
- Immunohistochemical staining of human testis with BAT3 polyclonal antibody (Cat # PAB29451) shows strong cytoplasmic and nuclear positivity in cells in seminiferus ducts at 1:200-1:500 dilution.
- Validation comment
- Immunohistochemistry (Formalin/PFA-fixed paraffin-embedded sections)