Antibody data
- Antibody Data
- Antigen structure
- References [2]
- Comments [0]
- Validations
- Immunohistochemistry [7]
Submit
Validation data
Reference
Comment
Report error
- Product number
- NBP2-31619 - Provider product page

- Provider
- Novus Biologicals
- Product name
- Rabbit Polyclonal KLF2 Antibody
- Antibody type
- Polyclonal
- Description
- Immunogen affinity purified. Specificity of human KLF2 antibody verified on a Protein Array containing target protein plus 383 other non-specific proteins.
- Reactivity
- Human, Rat
- Host
- Rabbit
- Isotype
- IgG
- Vial size
- 0.1 ml
- Storage
- Store at 4C short term. Aliquot and store at -20C long term. Avoid freeze-thaw cycles.
Submitted references Carotid Body-Mediated Chemoreflex Drive in The Setting of low and High Output Heart Failure.
Weibel-Palade body size modulates the adhesive activity of its von Willebrand Factor cargo in cultured endothelial cells.
Del Rio R, Andrade DC, Toledo C, Diaz HS, Lucero C, Arce-Alvarez A, Marcus NJ, Schultz HD
Scientific reports 2017 Aug 14;7(1):8035
Scientific reports 2017 Aug 14;7(1):8035
Weibel-Palade body size modulates the adhesive activity of its von Willebrand Factor cargo in cultured endothelial cells.
Ferraro F, Mafalda Lopes da S, Grimes W, Lee HK, Ketteler R, Kriston-Vizi J, Cutler DF
Scientific reports 2016 Aug 31;6:32473
Scientific reports 2016 Aug 31;6:32473
No comments: Submit comment
Supportive validation
- Submitted by
- Novus Biologicals (provider)
- Main image

- Experimental details
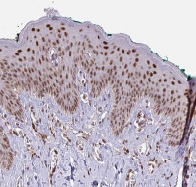
- Immunohistochemistry-Paraffin: KLF2 Antibody [NBP2-31619] - Staining of human skin shows moderate to strong nuclear positivity in epidermal cells.
- Submitted by
- Novus Biologicals (provider)
- Main image

- Experimental details
- Immunohistochemistry-Paraffin: KLF2 Antibody [NBP2-31619] - Staining of human cervix, uterine shows moderate to strong nuclear positivity in glandular cells.
- Submitted by
- Novus Biologicals (provider)
- Main image

- Experimental details
- Immunohistochemistry-Paraffin: KLF2 Antibody [NBP2-31619] - Staining of human testis shows moderate to strong nuclear positivity in Leydig cells.
- Submitted by
- Novus Biologicals (provider)
- Main image

- Experimental details
- Immunohistochemistry-Paraffin: KLF2 Antibody [NBP2-31619] - Staining of human liver shows no positivity in hepatocytes as expected.
- Submitted by
- Novus Biologicals (provider)
- Main image

- Experimental details
- Immunohistochemistry-Paraffin: KLF2 Antibody [NBP2-31619] - Staining of human testis shows moderate to strong nuclear positivity in Leydig cells.
- Submitted by
- Novus Biologicals (provider)
- Main image

- Experimental details
- Immunohistochemistry-Paraffin: KLF2 Antibody [NBP2-31619] - Staining of human skin shows moderate nuclear postivity in epidermal cells.
- Submitted by
- Novus Biologicals (provider)
- Main image

- Experimental details
- Immunohistochemistry-Paraffin: KLF2 Antibody [NBP2-31619] - Staining of human stomach sows moderate nuclear postivity in glandular cells.