Antibody data
- Antibody Data
- Antigen structure
- References [0]
- Comments [0]
- Validations
- Western blot [2]
- Immunohistochemistry [3]
- Other assay [1]
Submit
Validation data
Reference
Comment
Report error
- Product number
- TA331149 - Provider product page

- Provider
- OriGene
- Product name
- Rabbit Polyclonal Anti-KLF2 Antibody
- Antibody type
- Polyclonal
- Description
- Rabbit Polyclonal Anti-KLF2 Antibody
- Host
- Rabbit
- Conjugate
- Unconjugated
- Epitope
- KLF2
- Isotype
- IgG
- Antibody clone number
- NULL
- Vial size
- 100 µl
- Concentration
- NULL
No comments: Submit comment
Supportive validation
- Submitted by
- OriGene (provider)
- Main image

- Experimental details
- WB Suggested Anti-KLF2 Antibody Titration: 0.2-1 ug/ml; ELISA Titer: 1:312500; Positive Control: 721_B cell lysate
- Validation comment
- WB
- Submitted by
- OriGene (provider)
- Main image

- Experimental details
- Host: Rabbit; Target Name:KLF2; Sample Tissue:Hela Whole cell; Lane A: Primary Antibody; Lane B: Primary Antibody + Blocking Peptide ; Primary Antibody Concentration:1ug/ml; Peptide Concentration: 5ug/ml; Lysate Quantity: 25ug/lane; Gel Concentration: 0.1
- Validation comment
- WB
Supportive validation
- Submitted by
- OriGene (provider)
- Main image

- Experimental details
- Immunohistochemistry with Human lung
- Validation comment
- IHC
- Submitted by
- OriGene (provider)
- Main image

- Experimental details
- Immunohistochemistry with Human Colon, myenteric plexus
- Validation comment
- IHC
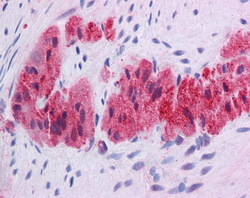
- Submitted by
- OriGene (provider)
- Main image

- Experimental details
- Immunohistochemistry with Human brain, cerebellum
- Validation comment
- IHC
Supportive validation
- Submitted by
- OriGene (provider)
- Main image

- Experimental details
- Quiescent human colon carcinoma HCT116 cultures were treated with 10% FBS for three time points (0, 15, 30min) or (0, 30, 60min) were used in Matrix-ChIP and real-time PCR assays at EGR1 gene (Exon1) and 15kb upstream site.
- Validation comment
- Assay