Antibody data
- Antibody Data
- Antigen structure
- References [0]
- Comments [0]
- Validations
- Western blot [1]
- Immunocytochemistry [2]
- Immunohistochemistry [5]
Submit
Validation data
Reference
Comment
Report error
- Product number
- LS-B16019 - Provider product page

- Provider
- LSBio
- Product name
- IHC-plus™ PD-L2 / PDCD1LG2 / CD273 Antibody (clone 8C12) LS-B16019
- Antibody type
- Monoclonal
- Description
- Protein A purified
- Reactivity
- Human
- Host
- Mouse
- Isotype
- IgG
- Antibody clone number
- 8C12
- Storage
- Store at 4°C for up 3 months. Store at -20°C for up to 1 year. Avoid freeze/thaw cycles.
No comments: Submit comment
Enhanced validation
- Submitted by
- LSBio (provider)
- Enhanced method
- Genetic validation
- Main image

- Experimental details
- Western blot analysis of PD-L2 in overexpressing HEK293 cells PD-L2 antibody at 0.5 and 1 ug/ml
Supportive validation
- Submitted by
- LSBio (provider)
- Enhanced method
- Genetic validation
- Main image

- Experimental details
- Immunocytochemistry of PD-L2 in transfected HEK293 cells with PD-L2 antibody at 5 ug/mL. Lower left: Immunocytochemistry in transfected HEK293 cells with control mouse IgG antibody at 5 ug/mL.
- Submitted by
- LSBio (provider)
- Main image

- Experimental details
- Immunocytochemistry of PD-L2 in transfected HEK293 cells with PD-L2 antibody at 5 ug/mL. Lower left: Immunocytochemistry in transfected HEK293 cells with control mouse IgG antibody at 5 ug/mL.
Enhanced validation
- Submitted by
- LSBio (provider)
- Enhanced method
- Genetic validation
- Main image

- Experimental details
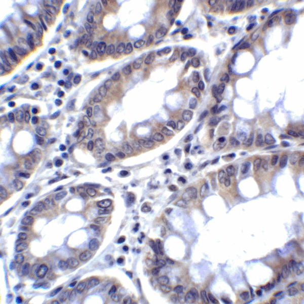
- Immunohistochemistry of PD-L2 in human colon carcinoma tissue with PD-L2 antibody at 2 ug/mL.
- Submitted by
- LSBio (provider)
- Enhanced method
- Genetic validation
- Main image

- Experimental details
- Immunohistochemistry of PD-L2 in human colon carcinoma tissue with PD-L2 antibody at 2 ug/mL.
- Submitted by
- LSBio (provider)
- Enhanced method
- Genetic validation
- Main image

- Experimental details
- Immunohistochemistry of PD-L2 in human tonsil tissue with PD-L2 antibody at 2 ug/mL.
- Submitted by
- LSBio (provider)
- Main image

- Experimental details
- Immunohistochemistry of PD-L2 in human tonsil tissue with PD-L2 antibody at 2 ug/mL.
- Submitted by
- LSBio (provider)
- Main image

- Experimental details
- Immunohistochemistry of PD-L2 in human colon carcinoma tissue with PD-L2 antibody at 2 ug/mL.