H00094239-M08
antibody from Abnova Corporation
Targeting: H2AZ2
H2AFV, H2AV, MGC10170, MGC10831, MGC1947
Antibody data
- Antibody Data
- Antigen structure
- References [0]
- Comments [0]
- Validations
- ELISA [1]
- Immunocytochemistry [1]
- Immunohistochemistry [1]
Submit
Validation data
Reference
Comment
Report error
- Product number
- H00094239-M08 - Provider product page

- Provider
- Abnova Corporation
- Proper citation
- Abnova Corporation Cat#H00094239-M08, RRID:AB_1576015
- Product name
- H2AFV monoclonal antibody (M08), clone 2F9
- Antibody type
- Monoclonal
- Description
- Mouse monoclonal antibody raised against a full-length recombinant H2AFV.
- Antigen sequence
MAGGKAGRDSGKAKAKAVSRSQRAGLQFPVGRIHR
HLKTRTTSHGRVGATAAVYSAAILEYLTAEVLELA
GNASKDLKVKRITPRHLQLAIRGDEELDSLIKATI
AGGGVIPHIHKSLIGKKGQQKTA- Isotype
- IgG
- Antibody clone number
- 2F9
- Storage
- Store at -20°C or lower. Aliquot to avoid repeated freezing and thawing.
No comments: Submit comment
Supportive validation
- Submitted by
- Abnova Corporation (provider)
- Main image

- Experimental details
- Detection limit for recombinant GST tagged H2AFV is 0.03 ng/ml as a capture antibody.
- Validation comment
- Sandwich ELISA (Recombinant protein)
- Protocol
- Protocol
Supportive validation
- Submitted by
- Abnova Corporation (provider)
- Main image

- Experimental details
- Immunofluorescence of monoclonal antibody to H2AFV on HeLa cell . [antibody concentration 10 ug/ml]
- Validation comment
- Immunofluorescence
- Protocol
- Protocol
Supportive validation
- Submitted by
- Abnova Corporation (provider)
- Main image

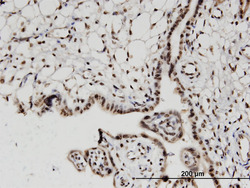
- Experimental details
- Immunoperoxidase of monoclonal antibody to H2AFV on formalin-fixed paraffin-embedded human placenta. [antibody concentration 3 ug/ml]
- Validation comment
- Immunohistochemistry (Formalin/PFA-fixed paraffin-embedded sections)
- Protocol
- Protocol