Antibody data
- Antibody Data
- Antigen structure
- References [1]
- Comments [0]
- Validations
- Western blot [2]
- Immunohistochemistry [1]
Submit
Validation data
Reference
Comment
Report error
- Product number
- GTX110020 - Provider product page

- Provider
- GeneTex
- Proper citation
- GeneTex Cat#GTX110020, RRID:AB_1949953
- Product name
- CDKAL1 antibody
- Antibody type
- Polyclonal
- Reactivity
- Human, Mouse
- Host
- Rabbit
Submitted references CDK5 regulatory subunit-associated protein 1-like 1 (CDKAL1) is a tail-anchored protein in the endoplasmic reticulum (ER) of insulinoma cells.
Brambillasca S, Altkrueger A, Colombo SF, Friederich A, Eickelmann P, Mark M, Borgese N, Solimena M
The Journal of biological chemistry 2012 Dec 7;287(50):41808-19
The Journal of biological chemistry 2012 Dec 7;287(50):41808-19
No comments: Submit comment
Supportive validation
- Submitted by
- GeneTex (provider)
- Main image

- Experimental details
- CDKAL1 antibody detects CDKAL1 protein by Western blot analysis.A. 30 ?g Jurkat whole cell lysate/extract B. 30 ?g Raji whole cell lysate/extract C. 30 ?g K562 whole cell lysate/extract 7.5 % SDS-PAGECDKAL1 antibody (GTX110020) dilution: 1:1000
- Submitted by
- GeneTex (provider)
- Main image

- Experimental details
- Sample (30 ug of whole cell lysate) A:NIH-3T37.5% SDS PAGE GTX110020 diluted at 1:2000
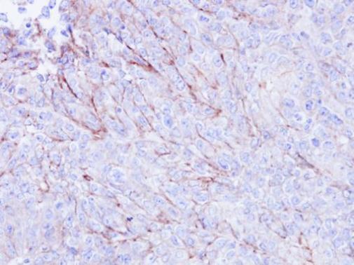
Supportive validation
- Submitted by
- GeneTex (provider)
- Main image

- Experimental details
- Immunohistochemical analysis of paraffin-embedded DLD-1 xenograft, using CDKAL1(GTX110020) antibody at 1:100 dilution.