Antibody data
- Antibody Data
- Antigen structure
- References [4]
- Comments [0]
- Validations
- ELISA [1]
- Immunohistochemistry [1]
Submit
Validation data
Reference
Comment
Report error
- Product number
- H00057449-M01 - Provider product page

- Provider
- Novus Biologicals
- Proper citation
- Novus Cat#H00057449-M01, RRID:AB_2166792
- Product name
- Mouse Monoclonal PLEKHG5 Antibody
- Antibody type
- Monoclonal
- Description
- IgG purified. PLEKHG5 (5A9)
- Reactivity
- Human
- Host
- Mouse
- Isotype
- IgG
- Vial size
- 0.1 mg
- Storage
- Aliquot and store at -20C or -80C. Avoid freeze-thaw cycles.
Submitted references Membrane Tension Orchestrates Rear Retraction in Matrix-Directed Cell Migration.
Phosphorylation-mediated 14-3-3 protein binding regulates the function of the rho-specific guanine nucleotide exchange factor (RhoGEF) Syx.
The Rho guanine nucleotide exchange factor Syx regulates the balance of dia and ROCK activities to promote polarized-cancer-cell migration.
VEGF and Angiopoietin-1 exert opposing effects on cell junctions by regulating the Rho GEF Syx.
Hetmanski JHR, de Belly H, Busnelli I, Waring T, Nair RV, Sokleva V, Dobre O, Cameron A, Gauthier N, Lamaze C, Swift J, Del Campo A, Starborg T, Zech T, Goetz JG, Paluch EK, Schwartz JM, Caswell PT
Developmental cell 2019 Nov 18;51(4):460-475.e10
Developmental cell 2019 Nov 18;51(4):460-475.e10
Phosphorylation-mediated 14-3-3 protein binding regulates the function of the rho-specific guanine nucleotide exchange factor (RhoGEF) Syx.
Ngok SP, Geyer R, Kourtidis A, Storz P, Anastasiadis PZ
The Journal of biological chemistry 2013 Mar 1;288(9):6640-50
The Journal of biological chemistry 2013 Mar 1;288(9):6640-50
The Rho guanine nucleotide exchange factor Syx regulates the balance of dia and ROCK activities to promote polarized-cancer-cell migration.
Dachsel JC, Ngok SP, Lewis-Tuffin LJ, Kourtidis A, Geyer R, Johnston L, Feathers R, Anastasiadis PZ
Molecular and cellular biology 2013 Dec;33(24):4909-18
Molecular and cellular biology 2013 Dec;33(24):4909-18
VEGF and Angiopoietin-1 exert opposing effects on cell junctions by regulating the Rho GEF Syx.
Ngok SP, Geyer R, Liu M, Kourtidis A, Agrawal S, Wu C, Seerapu HR, Lewis-Tuffin LJ, Moodie KL, Huveldt D, Marx R, Baraban JM, Storz P, Horowitz A, Anastasiadis PZ
The Journal of cell biology 2012 Dec 24;199(7):1103-15
The Journal of cell biology 2012 Dec 24;199(7):1103-15
No comments: Submit comment
Supportive validation
- Submitted by
- Novus Biologicals (provider)
- Main image

- Experimental details
- ELISA: PLEKHG5 Antibody (5A9) [H00057449-M01] - Detection limit for recombinant GST tagged PLEKHG5 is approximately 0.3ng/ml as a capture antibody.
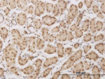
Supportive validation
- Submitted by
- Novus Biologicals (provider)
- Main image

- Experimental details
- Immunohistochemistry-Paraffin: PLEKHG5 Antibody (5A9) [H00057449-M01] - Analysis of monoclonal antibody to PLEKHG5 on formalin-fixed paraffin-embedded human stomach. Antibody concentration 1.5 ug/ml.