Antibody data
- Antibody Data
- Antigen structure
- References [0]
- Comments [0]
- Validations
- Immunohistochemistry [1]
Submit
Validation data
Reference
Comment
Report error
- Product number
- R33140 - Provider product page

- Provider
- NSJ Bioreagents
- Product name
- SNX12 Antibody
- Antibody type
- Polyclonal
- Description
- This highly specific SNX12 antibody is suitable for use in Immunohistochemistry/ELISA applications with human samples.
- Reactivity
- Human
- Host
- Goat
- Conjugate
- Unconjugated
- Vial size
- 100 ug
- Concentration
- 0.5 mg/ml in 1X TBS, pH7.3, with 0.5% BSA (US sourced) and 0.02% sodium azide
- Storage
- Aliquot and store the SNX12 antibody at -20oC.
No comments: Submit comment
Supportive validation
- Submitted by
- NSJ Bioreagents (provider)
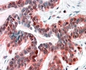
- Main image

- Experimental details
- IHC testing of FFPE human breast with SNX12 antibody at 4ug/ml. HIER: steamed with pH6 citrate buffer, AP-staining.