Antibody data
- Antibody Data
- Antigen structure
- References [0]
- Comments [0]
- Validations
- Western blot [1]
- Immunohistochemistry [5]
Submit
Validation data
Reference
Comment
Report error
- Product number
- LS-C782306 - Provider product page

- Provider
- LSBio
- Product name
- CPAMD8 / KIAA1283 Antibody LS-C782306
- Antibody type
- Polyclonal
- Description
- Antigen Affinity purification
- Reactivity
- Human
- Host
- Rabbit
- Isotype
- IgG
- Storage
- After reconstitution, store at 4°C for up to 1 month. Long-term: aliquot and store at -20°C. Avoid freeze-thaws cycles.
No comments: Submit comment
Enhanced validation
- Submitted by
- LSBio (provider)
- Enhanced method
- Genetic validation
- Main image

- Experimental details
- Western blot testing of human 1) placenta, 2) T-47D, 3) U-2 OS, 4) K562, 5) ThP-1 and 6) monkey COS-7 lysate with CPAMD8 antibody at 0.5ug/ml. Predicted molecular weight ~207 kDa.
Enhanced validation
- Submitted by
- LSBio (provider)
- Enhanced method
- Genetic validation
- Main image

- Experimental details
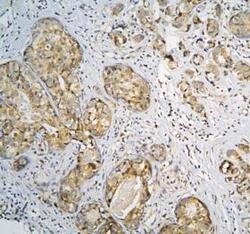
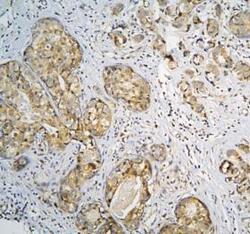
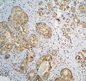
- IHC staining of FFPE human breast cancer with CPAMD8 antibody at 1ug/ml. HIER: boil tissue sections in pH6, 10mM citrate buffer, for 10-20 min and allow to cool before testing.
- Submitted by
- LSBio (provider)
- Enhanced method
- Genetic validation
- Main image

- Experimental details
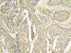
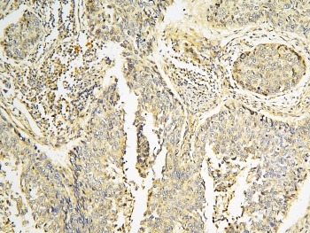
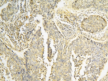
- IHC staining of FFPE human lung cancer with CPAMD8 antibody at 1ug/ml. HIER: boil tissue sections in pH6, 10mM citrate buffer, for 10-20 min and allow to cool before testing.
- Submitted by
- LSBio (provider)
- Enhanced method
- Genetic validation
- Main image

- Experimental details
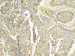
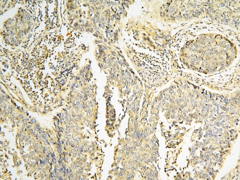
- IHC staining of FFPE human lung cancer with CPAMD8 antibody at 1ug/ml. HIER: boil tissue sections in pH6, 10mM citrate buffer, for 10-20 min and allow to cool before testing.
- Submitted by
- LSBio (provider)
- Main image

- Experimental details
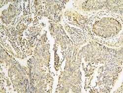
- IHC staining of FFPE human lung cancer with CPAMD8 antibody at 1ug/ml. HIER: boil tissue sections in pH6, 10mM citrate buffer, for 10-20 min and allow to cool before testing.
- Submitted by
- LSBio (provider)
- Main image

- Experimental details
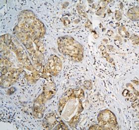
- IHC staining of FFPE human breast cancer with CPAMD8 antibody at 1ug/ml. HIER: boil tissue sections in pH6, 10mM citrate buffer, for 10-20 min and allow to cool before testing.