Antibody data
- Antibody Data
- Antigen structure
- References [0]
- Comments [0]
- Validations
- Immunohistochemistry [2]
Submit
Validation data
Reference
Comment
Report error
- Product number
- PA5-114401 - Provider product page

- Provider
- Invitrogen Antibodies
- Product name
- CPAMD8 Polyclonal Antibody
- Antibody type
- Polyclonal
- Antigen
- Recombinant full-length protein
- Description
- Reconstitute with 0.2 mL of distilled water to yield a concentration of 500 µg/mL. Positive Control - WB: human placenta tissue, human T-47D whole cell, human U2OS whole cell, human K562 whole cell, human THP-1 whole cell, monkey COS-7 whole cell. IHC: human lung cancer tissue, human mammary cancer tissue.|Store at -20°C for one year from date of receipt. After reconstitution, at 4°C for one month. It can also be aliquotted and stored frozen at -20°C for six months. Avoid repeated freeze-thaw cycles.
- Reactivity
- Human
- Host
- Rabbit
- Isotype
- IgG
- Vial size
- 100 μg
- Concentration
- 500 μg/mL
- Storage
- -20°C
No comments: Submit comment
Supportive validation
- Submitted by
- Invitrogen Antibodies (provider)
- Main image

- Experimental details
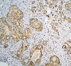
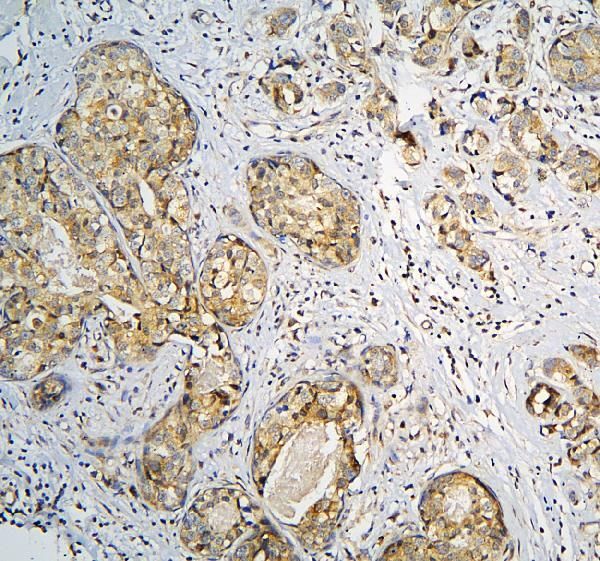
- Immunohistochemistry analysis of CPAMD8 in paraffin-embedded human mammary cancer tissue. Antigen retrieval was performed with citrate buffer (pH6, 20 min). Samples were blocked with 10% goat serum and incubated in CPAMD8 polyclonal antibody (Product # PA5-114401) at a dilution of 1 µg/mL (overnight, 4°C), followed by biotinylated goat anti-rabbit IgG (30 min, 37°C) and Strepavidin-Biotin-Complex (SABC) with DAB.
- Submitted by
- Invitrogen Antibodies (provider)
- Main image

- Experimental details
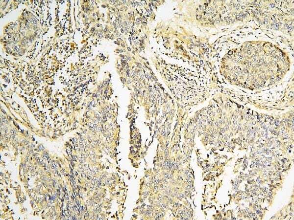
- Immunohistochemistry analysis of CPAMD8 in paraffin-embedded human lung cancer tissue. Antigen retrieval was performed with citrate buffer (pH6, 20 min). Samples were blocked with 10% goat serum and incubated in CPAMD8 polyclonal antibody (Product # PA5-114401) at a dilution of 1 µg/mL (overnight, 4°C), followed by biotinylated goat anti-rabbit IgG (30 min, 37°C) and Strepavidin-Biotin-Complex (SABC) with DAB.