Antibody data
- Antibody Data
- Antigen structure
- References [0]
- Comments [0]
- Validations
- Western blot [1]
- Immunocytochemistry [2]
- Immunohistochemistry [2]
- Flow cytometry [1]
Submit
Validation data
Reference
Comment
Report error
- Product number
- TA500778 - Provider product page

- Provider
- OriGene
- Proper citation
- OriGene Cat#TA500778, RRID:AB_11126993
- Product name
- Anti-TTLL12 mouse monoclonal antibody, clone OTI4E3 (formerly 4E3)
- Antibody type
- Monoclonal
- Description
- Anti-TTLL12 mouse monoclonal antibody, clone OTI4E3 (formerly 4E3)
- Host
- Mouse
- Conjugate
- Unconjugated
- Epitope
- TTLL12
- Isotype
- IgG
- Antibody clone number
- OTI4E3
- Vial size
- 100 µl
- Concentration
- 0.73 mg/ml
No comments: Submit comment
Supportive validation
- Submitted by
- OriGene (provider)
- Main image

- Experimental details
- HEK293T cells were transfected with the pCMV6-ENTRY control (Left lane) or pCMV6-ENTRY TTLL12 (RC200841, Right lane) cDNA for 48 hrs and lysed. Equivalent amounts of cell lysates (5 ug per lane) were separated by SDS-PAGE and immunoblotted with anti-TTLL12.
- Validation comment
- WB
Supportive validation
- Submitted by
- OriGene (provider)
- Main image

- Experimental details
- Anti-TTLL12 mouse monoclonal antibody (TA500778) immunofluorescent staining of COS7 cells transiently transfected by pCMV6-ENTRY TTLL12(RC200841).
- Validation comment
- IF
- Submitted by
- OriGene (provider)
- Main image

- Experimental details
- Immunofluorescent staining of HepG2 cells using anti-TTLL12 mouse monoclonal antibody (TA500778).
- Validation comment
- IF
Supportive validation
- Submitted by
- OriGene (provider)
- Main image

- Experimental details
- Immunohistochemical staining of paraffin-embedded liver tissue within the normal limits using anti-TTLL12mouse monoclonal antibody. (Heat-induced epitope retrieval by 10mM citric buffer, pH6.0, 100C for 10min, TA500778, Dilution 1:50)
- Validation comment
- IHC
- Submitted by
- OriGene (provider)
- Main image

- Experimental details
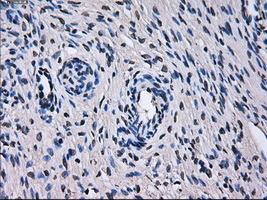
- Immunohistochemical staining of paraffin-embedded Ovary tissue within the normal limits using anti-TTLL12mouse monoclonal antibody. (Heat-induced epitope retrieval by 10mM citric buffer, pH6.0, 100C for 10min, TA500778, Dilution 1:50)
- Validation comment
- IHC
Supportive validation
- Submitted by
- OriGene (provider)
- Main image

- Experimental details
- Flow cytometric analysis of Hela cells, using anti-TTLL12 antibody(TA500778),(Red) compared to a nonspecific negative control antibody(TA50011)(Blue).
- Validation comment
- FC