Antibody data
- Antibody Data
- Antigen structure
- References [0]
- Comments [0]
- Validations
- Western blot [1]
- Immunohistochemistry [2]
- Flow cytometry [2]
Submit
Validation data
Reference
Comment
Report error
- Product number
- RQ7797 - Provider product page

- Provider
- NSJ Bioreagents
- Product name
- TTLL12 Antibody / Tubulin Tyrosine Ligase Like 12
- Antibody type
- Polyclonal
- Description
- This highly specific TTLL12 antibody is suitable for use in Western blot/Flow cytometry/Immunohistochemistry/Direct ELISA applications with human samples.
- Reactivity
- Human
- Host
- Rabbit
- Conjugate
- Unconjugated
- Vial size
- 100 ug
- Concentration
- 0.5mg/ml if reconstituted with 0.2ml sterile DI water
- Storage
- After reconstitution, the TTLL12 antibody can be stored for up to one month at 4oC. For long-term, aliquot and store at -20oC. Avoid repeated freezing and thawing.
No comments: Submit comment
Supportive validation
- Submitted by
- NSJ Bioreagents (provider)
- Main image

- Experimental details
- Western blot testing of human 1) K562 and 2) 293T cell lysate with TTLL12 antibody. Predicted molecular weight ~74 kDa.
Supportive validation
- Submitted by
- NSJ Bioreagents (provider)
- Main image

- Experimental details
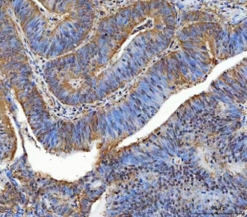
- IHC staining of FFPE human colorectal adenocarcinoma tissue with TTLL12 antibody. HIER: boil tissue sections in pH8 EDTA for 20 min and allow to cool before testing.
- Submitted by
- NSJ Bioreagents (provider)
- Main image

- Experimental details
- IHC staining of FFPE human thyroid cancer tissue with TTLL12 antibody. HIER: boil tissue sections in pH8 EDTA for 20 min and allow to cool before testing.
Supportive validation
- Submitted by
- NSJ Bioreagents (provider)
- Main image

- Experimental details
- Flow cytometry testing of human Caco-2 cells with TTLL12 antibody at 1ug/million cells (blocked with goat sera); Red=cells alone, Green=isotype control, Blue= TTLL12 antibody.
- Submitted by
- NSJ Bioreagents (provider)
- Main image

- Experimental details
- Flow cytometry testing of human HEL cells with TTLL12 antibody at 1ug/million cells (blocked with goat sera); Red=cells alone, Green=isotype control, Blue= TTLL12 antibody.