AP31231PU-N
antibody from Acris Antibodies GmbH
Targeting: SH3RF2
FLJ23654, Hepp1, POSHER, PPP1R39, RNF158
Antibody data
- Antibody Data
- Antigen structure
- References [0]
- Comments [0]
- Validations
- Immunohistochemistry [2]
Submit
Validation data
Reference
Comment
Report error
- Product number
- AP31231PU-N - Provider product page

- Provider
- Acris Antibodies GmbH
- Proper citation
- Acris Antibodies GmbH Cat#AP31231PU-N, RRID:AB_10980723
- Product name
- anti SH3RF2 / RNF158 (C-term)
- Antibody type
- Polyclonal
- Antigen
- Synthetic peptide - KLH conjugated
- Reactivity
- Human, Mouse, Rat
- Host
- Rabbit
- Vial size
- 50 µg
- Concentration
- 1,0 mg/ml
No comments: Submit comment
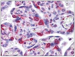
Supportive validation
- Submitted by
- Acris Antibodies GmbH (provider)
- Main image

- Experimental details
- Human Placenta: Formalin-Fixed, Paraffin-Embedded (FFPE)
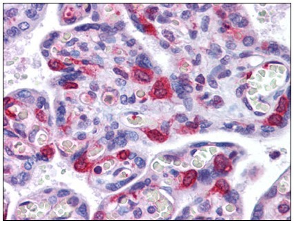
- Submitted by
- Acris Antibodies GmbH (provider)
- Main image

- Experimental details
- Human Spleen: Formalin-Fixed, Paraffin-Embedded (FFPE)