Antibody data
- Antibody Data
- Antigen structure
- References [0]
- Comments [0]
- Validations
- Immunocytochemistry [4]
- Immunohistochemistry [3]
- Flow cytometry [2]
Submit
Validation data
Reference
Comment
Report error
- Product number
- MA5-34747 - Provider product page

- Provider
- Invitrogen Antibodies
- Product name
- VAMP3 Recombinant Rabbit Monoclonal Antibody (JG36-31)
- Antibody type
- Monoclonal
- Antigen
- Recombinant full-length protein
- Description
- Positive Control: 293T, SiHa, rat brain tissue, rat hippocampus tissue, mouse testis tissue.
- Reactivity
- Human
- Host
- Rabbit
- Isotype
- IgG
- Antibody clone number
- JG36-31
- Vial size
- 100 μL
- Concentration
- 1 mg/mL
- Storage
- -20°C, Avoid Freeze/Thaw Cycles, store in dark
No comments: Submit comment
Supportive validation
- Submitted by
- Invitrogen Antibodies (provider)
- Main image

- Experimental details
- Immunofluorescent analysis of Cellubrevin in SiHa cells (green). Samples were fixed in paraformaldehyde and permeabilised with 0.25% Triton X100/PBS, incubated with Cellubrevin monoclonal antibody (Product # MA5-34747), followed by DAPI (blue).
- Submitted by
- Invitrogen Antibodies (provider)
- Main image

- Experimental details
- Immunofluorescent analysis of Cellubrevin in 293T cells (green). Samples were fixed in paraformaldehyde and permeabilised with 0.25% Triton X100/PBS, incubated with Cellubrevin monoclonal antibody (Product # MA5-34747), followed by DAPI (blue).
- Submitted by
- Invitrogen Antibodies (provider)
- Main image

- Experimental details
- Immunofluorescent analysis of Cellubrevin in 293T cells (green). Samples were fixed in paraformaldehyde and permeabilised with 0.25% Triton X100/PBS, incubated with Cellubrevin monoclonal antibody (Product # MA5-34747), followed by DAPI (blue).
- Submitted by
- Invitrogen Antibodies (provider)
- Main image

- Experimental details
- Immunofluorescent analysis of Cellubrevin in SiHa cells (green). Samples were fixed in paraformaldehyde and permeabilised with 0.25% Triton X100/PBS, incubated with Cellubrevin monoclonal antibody (Product # MA5-34747), followed by DAPI (blue).
Supportive validation
- Submitted by
- Invitrogen Antibodies (provider)
- Main image

- Experimental details
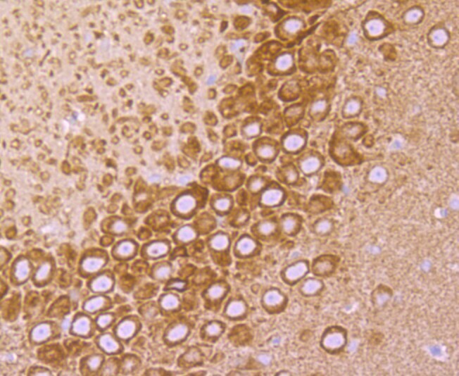
- Immunohistochemistry analysis of Cellubrevin in paraffin-embedded rat hippocampus tissue. Samples were incubated with Cellubrevin monoclonal antibody (Product # MA5-34747), and followed by hematoxylin.
- Submitted by
- Invitrogen Antibodies (provider)
- Main image

- Experimental details
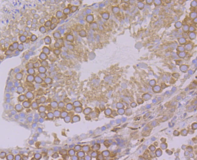
- Immunohistochemistry analysis of Cellubrevin in paraffin-embedded mouse testis tissue. Samples were incubated with Cellubrevin monoclonal antibody (Product # MA5-34747), and followed by hematoxylin.
- Submitted by
- Invitrogen Antibodies (provider)
- Main image

- Experimental details
- Immunohistochemistry analysis of Cellubrevin in paraffin-embedded rat brain tissue. Samples were incubated with Cellubrevin monoclonal antibody (Product # MA5-34747), and followed by hematoxylin.
Supportive validation
- Submitted by
- Invitrogen Antibodies (provider)
- Main image

- Experimental details
- Flow cytometry of Cellubrevin in Siha cells (yellow) compared with an unlabelled control (cells without incubation with primary antibody; purple). Samples were incubated with Cellubrevin monoclonal antibody (Product # MA5-34747) at a dilution of 1:100, followed by Alexa Fluor 488-conjugated goat anti-rabbit IgG.
- Submitted by
- Invitrogen Antibodies (provider)
- Main image

- Experimental details
- Flow cytometry of Cellubrevin in Siha cells (yellow) compared with an unlabelled control (cells without incubation with primary antibody; purple). Samples were incubated with Cellubrevin monoclonal antibody (Product # MA5-34747) at a dilution of 1:100, followed by Alexa Fluor 488-conjugated goat anti-rabbit IgG.