Antibody data
- Antibody Data
- Antigen structure
- References [0]
- Comments [0]
- Validations
- Western blot [2]
- Immunohistochemistry [3]
Submit
Validation data
Reference
Comment
Report error
- Product number
- GTX110223 - Provider product page

- Provider
- GeneTex
- Proper citation
- GeneTex Cat#GTX110223, RRID:AB_2038239
- Product name
- Tryptophanyl tRNA synthetase antibody
- Antibody type
- Polyclonal
- Reactivity
- Human, Mouse, Rat
- Host
- Rabbit
No comments: Submit comment
Supportive validation
- Submitted by
- GeneTex (provider)
- Main image

- Experimental details
- Sample (50 ug of whole cell lysate) A: Mouse brain 10% SDS PAGE GTX110223 diluted at 1:1000
- Submitted by
- GeneTex (provider)
- Main image

- Experimental details
- Sample (30 ug of whole cell lysate) A: Hep G2 (GTX27900) 10% SDS PAGE GTX110223 diluted at 1:1000
Supportive validation
- Submitted by
- GeneTex (provider)
- Main image

- Experimental details
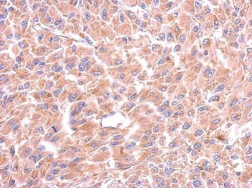
- Immunohistochemical analysis of paraffin-embedded U87 xenograft, using Tryptophanyl tRNA synthetase(GTX110223) antibody at 1:500 dilution.
- Submitted by
- GeneTex (provider)
- Main image

- Experimental details
- Tryptophanyl tRNA synthetase antibody detects Tryptophanyl tRNA synthetase protein at cytosol on mouse prostate by immunohistochemical analysis. Sample: Paraffin-embedded mouse prostate. Tryptophanyl tRNA synthetase antibody (GTX110223) dilution: 1:500.
- Submitted by
- GeneTex (provider)
- Main image

- Experimental details
- Tryptophanyl tRNA synthetase antibody detects Tryptophanyl tRNA synthetase protein at cytosol on rat hind brain by immunohistochemical analysis. Sample: Paraffin-embedded rat hind brain. Tryptophanyl tRNA synthetase antibody (GTX110223) dilution: 1:500.