A302-516A-T
antibody from Invitrogen Antibodies
Targeting: BABAM1
C19orf62, FLJ20571, HSPC142, MERIT40, NBA1
Antibody data
- Antibody Data
- Antigen structure
- References [0]
- Comments [0]
- Validations
- Immunohistochemistry [1]
- Other assay [1]
Submit
Validation data
Reference
Comment
Report error
- Product number
- A302-516A-T - Provider product page

- Provider
- Invitrogen Antibodies
- Product name
- MERIT40 Polyclonal Antibody
- Antibody type
- Polyclonal
- Antigen
- Other
- Reactivity
- Human
- Host
- Rabbit
- Isotype
- IgG
- Vial size
- 10 µL
- Concentration
- 1 mg/mL
- Storage
- 4° C
No comments: Submit comment
Supportive validation
- Submitted by
- Invitrogen Antibodies (provider)
- Main image

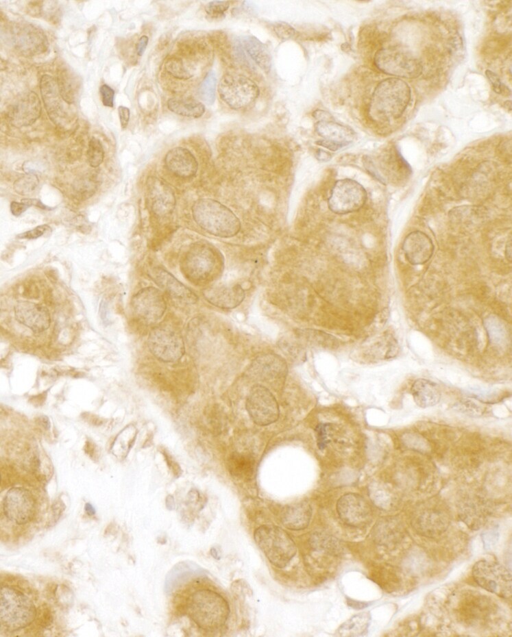
- Experimental details
- Detection of human MERIT40 by immunohistochemistry. Sample: FFPE section of human breast carcinoma. Antibody: Affinity purified rabbit anti- MERIT40 (Cat. No. A302-516A Lot2) used at a dilution of 1:1,000 (1µg/ml). Detection: DAB.
Supportive validation
- Submitted by
- Invitrogen Antibodies (provider)
- Main image

- Experimental details
- Detection of human MERIT40 by western blot of immunoprecipitates. Samples: Whole cell lysate (0.5 or 1.0 mg per IP reaction; 20% of IP loaded) from HeLa cells prepared using NETN lysis buffer. Antibody: Affinity purified rabbit anti-MERIT40 antibody A302-516A (lot A302-516A-2) used for IP at 6 µg per reaction. MERIT40 was also immunoprecipitated by a previous lot of this antibody (A302-516A-1) and rabbit anti-MERIT40 antibody A302-515A. For blotting immunoprecipitated MERIT40, A302-516A was used at 1 µg/ml. Detection: Chemiluminescence with an exposure time of 30 seconds.