GTX88810
antibody from GeneTex
Targeting: PNPLA3
adiponutrin, ADPN, C22orf20, dJ796I17.1, FLJ22012, iPLA2epsilon
Antibody data
- Antibody Data
- Antigen structure
- References [0]
- Comments [0]
- Validations
- Western blot [2]
- Immunohistochemistry [1]
Submit
Validation data
Reference
Comment
Report error
- Product number
- GTX88810 - Provider product page

- Provider
- GeneTex
- Proper citation
- GeneTex Cat#GTX88810, RRID:AB_10722113
- Product name
- PNPLA3 antibody, Internal
- Antibody type
- Polyclonal
- Reactivity
- Human, Mouse, Rat
- Host
- Goat
No comments: Submit comment
Supportive validation
- Submitted by
- GeneTex (provider)
- Main image

- Experimental details
- GTX88810 (0.05?g/ml) staining of Mouse Heart lysate (35?g protein in RIPA buffer). Primary incubation was 1 hour. Detected by chemiluminescence.
- Submitted by
- GeneTex (provider)
- Main image

- Experimental details
- GTX88810 (0.01?g/ml) staining of Mouse (A) and Rat (B) Adrenal gland lysate (35?g protein in RIPA buffer). Primary incubation was 1 hour. Detected by chemiluminescence.
Supportive validation
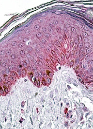
- Submitted by
- GeneTex (provider)
- Main image

- Experimental details
- GTX88810 (3.8?g/ml) staining of paraffin embedded Human Skin. Steamed antigen retrieval with citrate buffer pH 6, AP-staining.