Antibody data
- Antibody Data
- Antigen structure
- References [0]
- Comments [0]
- Validations
- Western blot [1]
- Immunohistochemistry [2]
Submit
Validation data
Reference
Comment
Report error
- Product number
- TA351318 - Provider product page 
- Provider
- OriGene
- Product name
- Rabbit Polyclonal Anti-KCNK9 Antibody
- Antibody type
- Polyclonal
- Description
- Rabbit Polyclonal Anti-KCNK9 Antibody
- Host
- Rabbit
- Conjugate
- Unconjugated
- Isotype
- IgG
- Antibody clone number
- Polyclonal
- Vial size
- 100ul
- Concentration
- 2.8 mg/ml
				No comments: Submit comment	
	
			
							
					Supportive validation
					
									
				
				- Submitted by
- OriGene (provider)
- Main image
 
- Experimental details
- Gel: 8%SDS-PAGE, Lysate: 40 ug, Lane 1-2: Human paraneoplastic tissue, Human normal kidney tissue, Primary antibody: (KCNK9 Antibody) at dilution 1/650, Secondary antibody: Goat anti rabbit IgG at 1/8000 dilution, Exposure time: 40 seconds
- Validation comment
- WB
							
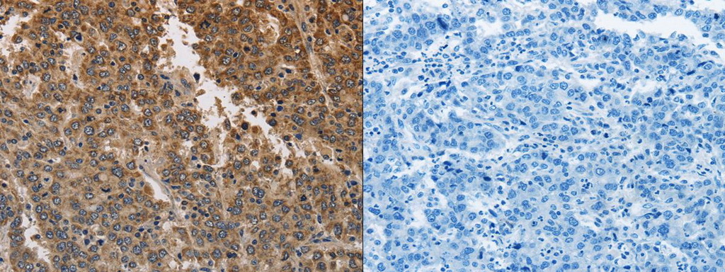
					Supportive validation
					
									
				
		- Submitted by
- OriGene (provider)
- Main image
 
- Experimental details
- The image on the left is immunohistochemistry of paraffin-embedded Human liver cancer tissue using (KCNK9 Antibody) at dilution 1/40, on the right is treated with synthetic peptide. (Original magnification: ?200)
- Validation comment
- IHC
- Submitted by
- OriGene (provider)
- Main image
 
- Experimental details
- The image on the left is immunohistochemistry of paraffin-embedded Human colon cancer tissue using (KCNK9 Antibody) at dilution 1/40, on the right is treated with synthetic peptide. (Original magnification: ?200)
- Validation comment
- IHC