Antibody data
- Antibody Data
- Antigen structure
- References [0]
- Comments [0]
- Validations
- ELISA [2]
Submit
Validation data
Reference
Comment
Report error
- Product number
- DH0022 - Provider product page

- Provider
- Abnova Corporation
- Product name
- Anti-SPINK1 monoclonal antibody
- Antibody type
- Monoclonal
- Description
- Anti-SPINK1 is intended for the semi-quantitative detection of Serine Peptidase Inhibitor, Kazal Type 1 (SPINK1 ) in paraffin sections.
- Isotype
- IgG
- Antibody clone number
- 4D4
- Storage
- Store at -20°C or lower. Aliquot to avoid repeated freezing and thawing.
No comments: Submit comment
Supportive validation
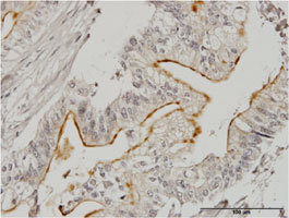
- Submitted by
- Abnova Corporation (provider)
- Main image

- Experimental details
- Immunoperoxidase of monoclonal antibody to SPINK1 on formalin-fixed paraffin-embedded human prostate cancer. [antibody concentration 1.5 ug/ml]
- Submitted by
- Abnova Corporation (provider)
- Main image

- Experimental details
- Immunoperoxidase of monoclonal antibody to SPINK1 on formalin-fixed paraffin-embedded human pancreatic cancer. [antibody concentration 1.5 ug/ml]