Antibody data
- Antibody Data
- Antigen structure
- References [0]
- Comments [0]
- Validations
- Immunohistochemistry [4]
- Flow cytometry [1]
Submit
Validation data
Reference
Comment
Report error
- Product number
- TA803394 - Provider product page

- Provider
- OriGene
- Proper citation
- OriGene Cat#TA803394, RRID:AB_2626803
- Product name
- CD63 mouse monoclonal antibody, clone OTI2A2E2 (formerly 2A2E2)
- Antibody type
- Monoclonal
- Description
- CD63 mouse monoclonal antibody, clone OTI2A2E2 (formerly 2A2E2)
- Host
- Mouse
- Conjugate
- Unconjugated
- Epitope
- CD63
- Isotype
- IgG
- Antibody clone number
- OTI2A2E2
- Vial size
- 100 µl
- Concentration
- 1 mg/ml
No comments: Submit comment
Supportive validation
- Submitted by
- OriGene (provider)
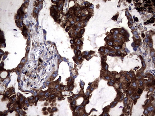
- Main image

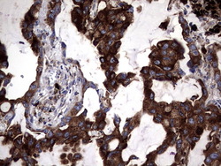
- Experimental details
- Immunohistochemical staining of paraffin-embedded Carcinoma of Human lung tissue using anti-CD63 mouse monoclonal antibody. (TA803394; heat-induced epitope retrieval by 1 mM EDTA in 10mM Tris, pH8.5, 120C for 3min)
- Validation comment
- IHC
- Submitted by
- OriGene (provider)
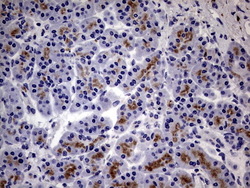
- Main image

- Experimental details
- Immunohistochemical staining of paraffin-embedded Human pancreas tissue within the normal limits using anti-CD63 mouse monoclonal antibody. (TA803394; heat-induced epitope retrieval by 1 mM EDTA in 10mM Tris, pH8.5, 120C for 3min)
- Validation comment
- IHC
- Submitted by
- OriGene (provider)
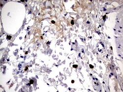
- Main image

- Experimental details
- Immunohistochemical staining of paraffin-embedded Human bladder tissue within the normal limits using anti-CD63 mouse monoclonal antibody. (TA803394; heat-induced epitope retrieval by 1 mM EDTA in 10mM Tris, pH8.5, 120C for 3min)
- Validation comment
- IHC
- Submitted by
- OriGene (provider)
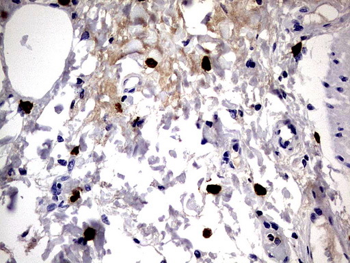
- Main image

- Experimental details
- Immunohistochemical staining of paraffin-embedded Carcinoma of Human bladder tissue using anti-CD63 mouse monoclonal antibody. (TA803394; heat-induced epitope retrieval by 1 mM EDTA in 10mM Tris, pH8.5, 120C for 3min)
- Validation comment
- IHC
Supportive validation
- Submitted by
- OriGene (provider)
- Main image

- Experimental details
- Flow cytometric Analysis of living A549 cells,using anti-CD63 antibody(TA803394),(Red),compared to a nonspecific negative control antibody,(Blue).
- Validation comment
- FC