Antibody data
- Antibody Data
 - Antigen structure
 - References [7]
 - Comments [0]
 - Validations
 - Immunohistochemistry [1]
 - Flow cytometry [7]
 
Submit
Validation data
Reference
Comment
Report error
- Product number
 - NB100-77913 - Provider product page

 - Provider
 - Novus Biologicals
 - Proper citation
 - Novus Cat#NB100-77913, RRID:AB_1084027
 - Product name
 - Mouse Monoclonal CD63 Antibody
 - Antibody type
 - Monoclonal
 - Description
 - Protein A purified. The antibody MEM-259 reacts with an extracellular/luminal epitope of CD63 (LAMP-3), a 40-60 kDa tetraspan glycoprotein expressed by granulocytes, platelets, T-cells, monocytes/macrophages and endothelial cells. Cell surface exposition of CD63 is usually activation-dependent.
 - Reactivity
 - Human, Mouse, Rat
 - Host
 - Mouse
 - Isotype
 - IgG
 - Vial size
 - 0.1 mg
 - Concentration
 - 1.0 mg/ml
 - Storage
 - Store at 4C. Do not freeze.
 
Submitted references		Inhalation of lung spheroid cell secretome and exosomes promotes lung repair in pulmonary fibrosis.
				
Isolation and Analysis of Plasma-Derived Exosomes in Patients With Glioma.
				
Breast-cancer-secreted miR-122 reprograms glucose metabolism in premetastatic niche to promote metastasis.
				
Macrophage immunomodulation by breast cancer-derived exosomes requires Toll-like receptor 2-mediated activation of NF-κB.
				
Down-regulation of CD9 expression and its correlation to tumor progression in B lymphomas.
				
Enrichment and analysis of secretory lysosomes from lymphocyte populations.
				
Two monoclonal antibodies with defined epitopes of P44 major surface proteins neutralize Anaplasma phagocytophilum by distinct mechanisms.
				
		
	
			Dinh PC, Paudel D, Brochu H, Popowski KD, Gracieux MC, Cores J, Huang K, Hensley MT, Harrell E, Vandergriff AC, George AK, Barrio RT, Hu S, Allen TA, Blackburn K, Caranasos TG, Peng X, Schnabel LV, Adler KB, Lobo LJ, Goshe MB, Cheng K
Nature communications 2020 Feb 28;11(1):1064
		Nature communications 2020 Feb 28;11(1):1064
Isolation and Analysis of Plasma-Derived Exosomes in Patients With Glioma.
			Cumba Garcia LM, Peterson TE, Cepeda MA, Johnson AJ, Parney IF
Frontiers in oncology 2019;9:651
		Frontiers in oncology 2019;9:651
Breast-cancer-secreted miR-122 reprograms glucose metabolism in premetastatic niche to promote metastasis.
			Fong MY, Zhou W, Liu L, Alontaga AY, Chandra M, Ashby J, Chow A, O'Connor ST, Li S, Chin AR, Somlo G, Palomares M, Li Z, Tremblay JR, Tsuyada A, Sun G, Reid MA, Wu X, Swiderski P, Ren X, Shi Y, Kong M, Zhong W, Chen Y, Wang SE
Nature cell biology 2015 Feb;17(2):183-94
		Nature cell biology 2015 Feb;17(2):183-94
Macrophage immunomodulation by breast cancer-derived exosomes requires Toll-like receptor 2-mediated activation of NF-κB.
			Chow A, Zhou W, Liu L, Fong MY, Champer J, Van Haute D, Chin AR, Ren X, Gugiu BG, Meng Z, Huang W, Ngo V, Kortylewski M, Wang SE
Scientific reports 2014 Jul 18;4:5750
		Scientific reports 2014 Jul 18;4:5750
Down-regulation of CD9 expression and its correlation to tumor progression in B lymphomas.
			Yoon SO, Zhang X, Freedman AS, Zahrieh D, Lossos IS, Li L, Choi YS
The American journal of pathology 2010 Jul;177(1):377-86
		The American journal of pathology 2010 Jul;177(1):377-86
Enrichment and analysis of secretory lysosomes from lymphocyte populations.
			Schmidt H, Gelhaus C, Lucius R, Nebendahl M, Leippe M, Janssen O
BMC immunology 2009 Jul 29;10:41
		BMC immunology 2009 Jul 29;10:41
Two monoclonal antibodies with defined epitopes of P44 major surface proteins neutralize Anaplasma phagocytophilum by distinct mechanisms.
			Wang X, Kikuchi T, Rikihisa Y
Infection and immunity 2006 Mar;74(3):1873-82
		Infection and immunity 2006 Mar;74(3):1873-82
				No comments: Submit comment	
	
			
							
					Supportive validation
					
									
				
				- Submitted by
 - Novus Biologicals (provider)
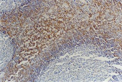
 - Main image
 
- Experimental details
 - Immunohistochemistry-Paraffin: CD63 Antibody (MEM-259) [NB100-77913] - Staining of tonsil tissue (paraffin-embedded sections) with anti-CD45RB (MEM-55).
 
							
					Supportive validation
					
									
				
		- Submitted by
 - Novus Biologicals (provider)
 - Main image
 
- Experimental details
 - Flow Cytometry: CD63 Antibody (MEM-259) [NB100-77913] - Analysis using the FITC conjugate of NB100-77913. Staining of peripheral blood lymphocytes from a patient with allergy to bee venom after stimulation with bee venom, stained with anti-human CD63 (MEM-259) FITC.
 
- Submitted by
 - Novus Biologicals (provider)
 - Main image
 
- Experimental details
 - Flow Cytometry: CD63 Antibody (MEM-259) [NB100-77913] - Analysis of IgE-activated peripheral blood stained with anti-human CD63 (MEM-259) PerCP.
 
- Submitted by
 - Novus Biologicals (provider)
 - Main image
 
- Experimental details
 - Flow Cytometry: CD63 Antibody (MEM-259) [NB100-77913] - Analysis of IgE-activated peripheral blood stained with anti-human CD63 (MEM-259) PE.
 
- Submitted by
 - Novus Biologicals (provider)
 - Main image
 
- Experimental details
 - Flow Cytometry: CD63 Antibody (MEM-259) [NB100-77913] - Analysis of IgE-activated peripheral blood stained with anti-human CD63 (MEM-259) PerCP-CyTM5.5.
 
- Submitted by
 - Novus Biologicals (provider)
 - Main image
 
- Experimental details
 - Flow Cytometry: CD63 Antibody (MEM-259) [NB100-77913] - Analysis of IgE-activated peripheral blood stained with anti-human CD63 (MEM-259) purified, GAM-APC.
 
- Submitted by
 - Novus Biologicals (provider)
 - Main image
 
- Experimental details
 - Flow Cytometry: CD63 Antibody (MEM-259) [NB100-77913] - Flow Cytometry: CD63 Antibody (MEM-259) [FITC] [NB500-483] - Analysis of IgE-activated peripheral blood stained with anti-human CD63 (MEM-259) Alexa Fluor® 488. Image using the FITC form of this antibody.
 
- Submitted by
 - Novus Biologicals (provider)
 - Main image
 
- Experimental details
 - Flow Cytometry: CD63 Antibody (MEM-259) [NB100-77913] - Flow Cytometry: CD63 Antibody (MEM-259) [FITC] [NB500-483] - Analysis of IgE-activated peripheral blood stained with anti-human CD63 (MEM-259) PE-CyTM5. Image using the FITC form of this antibody.