Antibody data
- Antibody Data
- Antigen structure
- References [0]
- Comments [0]
- Validations
- Western blot [1]
- Immunocytochemistry [1]
- Immunohistochemistry [4]
- Flow cytometry [1]
Submit
Validation data
Reference
Comment
Report error
- Product number
- TA504326 - Provider product page

- Provider
- OriGene
- Proper citation
- OriGene Cat#TA504326, RRID:AB_11124146
- Product name
- DTNB (Dystrobrevin beta) mouse monoclonal antibody, clone OTI3A12 (formerly 3A12)
- Antibody type
- Monoclonal
- Description
- DTNB (Dystrobrevin beta) mouse monoclonal antibody, clone OTI3A12 (formerly 3A12)
- Host
- Mouse
- Conjugate
- Unconjugated
- Epitope
- DTNB
- Isotype
- IgG
- Antibody clone number
- OTI3A12
- Vial size
- 100 µl
- Concentration
- 0.71 mg/ml
No comments: Submit comment
Supportive validation
- Submitted by
- OriGene (provider)
- Main image

- Experimental details
- HEK293T cells were transfected with the pCMV6-ENTRY control (Left lane) or pCMV6-ENTRY DTNB (RC203798, Right lane) cDNA for 48 hrs and lysed. Equivalent amounts of cell lysates (5 ug per lane) were separated by SDS-PAGE and immunoblotted with anti-DTNB.
- Validation comment
- WB
Supportive validation
- Submitted by
- OriGene (provider)
- Main image

- Experimental details
- Anti-DTNB mouse monoclonal antibody (TA504326) immunofluorescent staining of COS7 cells transiently transfected by pCMV6-ENTRY DTNB(RC203798).
- Validation comment
- IF
Supportive validation
- Submitted by
- OriGene (provider)
- Main image

- Experimental details
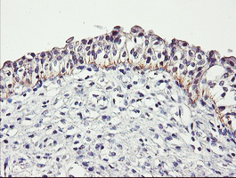
- Immunohistochemical staining of paraffin-embedded Human prostate tissue within the normal limits using anti-DTNB mouse monoclonal antibody. (Heat-induced epitope retrieval by 10mM citric buffer, pH6.0, 100C for 10min, TA504326)
- Validation comment
- IHC
- Submitted by
- OriGene (provider)
- Main image

- Experimental details
- Immunohistochemical staining of paraffin-embedded Adenocarcinoma of Human endometrium tissue using anti-DTNB mouse monoclonal antibody. (Heat-induced epitope retrieval by 10mM citric buffer, pH6.0, 100C for 10min, TA504326)
- Validation comment
- IHC
- Submitted by
- OriGene (provider)
- Main image

- Experimental details
- Immunohistochemical staining of paraffin-embedded Carcinoma of Human bladder tissue using anti-DTNB mouse monoclonal antibody. (Heat-induced epitope retrieval by 10mM citric buffer, pH6.0, 100C for 10min, TA504326)
- Validation comment
- IHC
- Submitted by
- OriGene (provider)
- Main image

- Experimental details
- Immunohistochemical staining of paraffin-embedded Carcinoma of Human prostate tissue using anti-DTNB mouse monoclonal antibody. (Heat-induced epitope retrieval by 10mM citric buffer, pH6.0, 100C for 10min, TA504326)
- Validation comment
- IHC
Supportive validation
- Submitted by
- OriGene (provider)
- Main image

- Experimental details
- HEK293T cells transfected with either RC203798 overexpress plasmid(Red) or empty vector control plasmid(Blue) were immunostained by anti-DTNB antibody(TA504326), and then analyzed by flow cytometry.
- Validation comment
- FC