Antibody data
- Antibody Data
- Antigen structure
- References [0]
- Comments [0]
- Validations
- Western blot [4]
- Immunohistochemistry [2]
Submit
Validation data
Reference
Comment
Report error
- Product number
- NBP1-31598 - Provider product page

- Provider
- Novus Biologicals
- Proper citation
- Novus Cat#NBP1-31598, RRID:AB_2238565
- Product name
- Rabbit Polyclonal RPS3A Antibody
- Antibody type
- Polyclonal
- Description
- Immunogen affinity purified.
- Reactivity
- Human, Mouse, Rat
- Host
- Rabbit
- Isotype
- IgG
- Vial size
- 100 ul
- Storage
- Aliquot and store at -20C or -80C. Avoid freeze-thaw cycles.
No comments: Submit comment
Supportive validation
- Submitted by
- Novus Biologicals (provider)
- Main image

- Experimental details
- Western Blot: RPS3A Antibody [NBP1-31598] - Sample (50 ug of whole cell lysate) A: Mouse brain 12% SDS PAGE; antibody diluted at 1:1000.
- Submitted by
- Novus Biologicals (provider)
- Main image

- Experimental details
- Western Blot: RPS3A Antibody [NBP1-31598] - Sample(30 ug whole cell lysate)A: 293T B: A431 C:H1299 D:HeLa S3 E: Hep G2 F: MOLT4 G: Raji 12% SDS PAGE, antibody diluted at 1:1000.
- Submitted by
- Novus Biologicals (provider)
- Main image

- Experimental details
- Western Blot: RPS3A Antibody [NBP1-31598] - PS3A antibody detects RPS3A protein by Western blot analysis. A. 30 ug Neuro2A whole cell lysate/extract. B. 30 ug GL261 whole cell lysate/extract. C. 30 ug C8D30 whole cell lysate/extract. D. 30 ug NIH-3T3 whole cell lysate/extract. E. 30 ug BCL-1 whole cell lysate/extract. F. 30 ug Raw264.7 whole cell lysate/extract. G. 30 ug C2C12 whole cell lysate/extract. 12 % SDS-PAGE. RPS3A antibody dilution: 1:1000
- Submitted by
- Novus Biologicals (provider)
- Main image

- Experimental details
- Western Blot: RPS3A Antibody [NBP1-31598] - RPS3A antibody detects RPS3A protein by Western blot analysis. A. 30 ug PC-12 whole cell lysate/extract. B. 30 ug Rat2 whole cell lysate/extract. 12 % SDS-PAGE RPS3A antibody dilution: 1:1000.
Supportive validation
- Submitted by
- Novus Biologicals (provider)
- Main image

- Experimental details
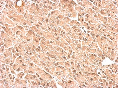
- Immunohistochemistry-Paraffin: RPS3A Antibody [NBP1-31598] - Paraffin-embedded U87 xenograft; antibody dilution 1:500.
- Submitted by
- Novus Biologicals (provider)
- Main image

- Experimental details
- Immunohistochemistry-Paraffin: RPS3A Antibody [NBP1-31598] - RPS3A antibody detects RPS3A protein at cytosol on mouse brain stem by immunohistochemical analysis. Sample: Paraffin-embedded mouse brain stem. RPS3A antibody dilution: 1:200. Antigen Retrieval: Trilogy (EDTA based, pH 8.0) buffer, 15min