Antibody data
- Antibody Data
- Antigen structure
- References [0]
- Comments [0]
- Validations
- Western blot [1]
- Immunohistochemistry [2]
Submit
Validation data
Reference
Comment
Report error
- Product number
- F47919 - Provider product page

- Provider
- NSJ Bioreagents
- Product name
- GDF11 Antibody / BMP11
- Antibody type
- Polyclonal
- Description
- This highly specific GDF11 antibody is suitable for use in Western blot/Immunohistochemistry/ELISA applications with human samples.
- Reactivity
- Human
- Host
- Rabbit
- Conjugate
- Unconjugated
- Vial size
- 0.08 ml, 0.4 ml
- Concentration
- In 1X PBS, pH 7.4, with 0.09% sodium azide
- Storage
- Aliquot the GDF11 antibody and store frozen at -20oC or colder. Avoid repeated freeze-thaw cycles.
No comments: Submit comment
Supportive validation
- Submitted by
- NSJ Bioreagents (provider)
- Main image

- Experimental details
- Western blot analysis of GDF11 antibody and 293 cell lysate (2 ug/lane) either nontransfected (Lane 1) or transiently transfected with the GDF11 gene (2).
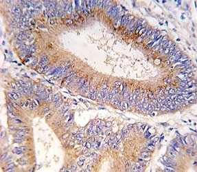
Supportive validation
- Submitted by
- NSJ Bioreagents (provider)
- Main image

- Experimental details
- IHC analysis of FFPE human colon carcinoma tissue stained with GDF11 antibody
- Submitted by
- NSJ Bioreagents (provider)
- Main image

- Experimental details
- IHC analysis of FFPE human colon carcinoma tissue stained with GDF11 antibody