Antibody data
- Antibody Data
- Antigen structure
- References [2]
- Comments [0]
- Validations
- Western blot [1]
- Immunohistochemistry [12]
- Flow cytometry [1]
Submit
Validation data
Reference
Comment
Report error
- Product number
- NBP2-00935 - Provider product page

- Provider
- Novus Biologicals
- Product name
- Mouse Monoclonal OSBP1 Antibody
- Antibody type
- Monoclonal
- Description
- Affinity purified.
- Reactivity
- Human
- Host
- Mouse
- Isotype
- IgG
- Vial size
- 0.1 ml
- Concentration
- 0.33 mg/ml
- Storage
- Store at -20C. Avoid freeze-thaw cycles.
Submitted references Differing activities of oxysterol-binding protein (OSBP) targeting anti-viral compounds.
Transient Compound Treatment Induces a Multigenerational Reduction of Oxysterol-Binding Protein (OSBP) Levels and Prophylactic Antiviral Activity.
Roberts BL, Severance ZC, Bensen RC, Le-McClain AT, Malinky CA, Mettenbrink EM, Nuñez JI, Reddig WJ, Blewett EL, Burgett AWG
Antiviral research 2019 Oct;170:104548
Antiviral research 2019 Oct;170:104548
Transient Compound Treatment Induces a Multigenerational Reduction of Oxysterol-Binding Protein (OSBP) Levels and Prophylactic Antiviral Activity.
Roberts BL, Severance ZC, Bensen RC, Le AT, Kothapalli NR, Nuñez JI, Ma H, Wu S, Standke SJ, Yang Z, Reddig WJ, Blewett EL, Burgett AWG
ACS chemical biology 2019 Feb 15;14(2):276-287
ACS chemical biology 2019 Feb 15;14(2):276-287
No comments: Submit comment
Supportive validation
- Submitted by
- Novus Biologicals (provider)
- Main image

- Experimental details
- Western Blot: OSBP1 Antibody (1F2) [NBP2-00935] - HEK293T cells were transfected with the pCMV6-ENTRY control (Left lane) or pCMV6-ENTRY OSBP1 (Right lane) cDNA for 48 hrs and lysed. Equivalent amounts of cell lysates (5 ug per lane) were separated by SDS-PAGE and immunoblotted with anti-OSBP1.
Supportive validation
- Submitted by
- Novus Biologicals (provider)
- Main image

- Experimental details
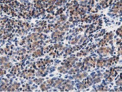
- Immunohistochemistry-Paraffin: OSBP1 Antibody (1F2) [NBP2-00935] - Staining of paraffin-embedded Adenocarcinoma of Human breast tissue using anti-OSBP1 mouse monoclonal antibody.
- Submitted by
- Novus Biologicals (provider)
- Main image

- Experimental details
- Immunohistochemistry-Paraffin: OSBP1 Antibody (1F2) [NBP2-00935] - Staining of paraffin-embedded Adenocarcinoma of Human colon tissue using anti-OSBP1 mouse monoclonal antibody.
- Submitted by
- Novus Biologicals (provider)
- Main image

- Experimental details
- Immunohistochemistry-Paraffin: OSBP1 Antibody (1F2) [NBP2-00935] - Staining of paraffin-embedded Adenocarcinoma of Human ovary tissue using anti-OSBP1 mouse monoclonal antibody.
- Submitted by
- Novus Biologicals (provider)
- Main image

- Experimental details
- Immunohistochemistry-Paraffin: OSBP1 Antibody (1F2) [NBP2-00935] - Staining of paraffin-embedded Carcinoma of Human bladder tissue using anti-OSBP1 mouse monoclonal antibody.
- Submitted by
- Novus Biologicals (provider)
- Main image

- Experimental details
- Immunohistochemistry-Paraffin: OSBP1 Antibody (1F2) [NBP2-00935] - Staining of paraffin-embedded Carcinoma of Human pancreas tissue using anti-OSBP1 mouse monoclonal antibody.
- Submitted by
- Novus Biologicals (provider)
- Main image

- Experimental details
- Immunohistochemistry-Paraffin: OSBP1 Antibody (1F2) [NBP2-00935] - Staining of paraffin-embedded Carcinoma of Human prostate tissue using anti-OSBP1 mouse monoclonal antibody.
- Submitted by
- Novus Biologicals (provider)
- Main image

- Experimental details
- Immunohistochemistry-Paraffin: OSBP1 Antibody (1F2) [NBP2-00935] - Staining of paraffin-embedded Carcinoma of Human thyroid tissue using anti-OSBP1 mouse monoclonal antibody.
- Submitted by
- Novus Biologicals (provider)
- Main image

- Experimental details
- Immunohistochemistry-Paraffin: OSBP1 Antibody (1F2) [NBP2-00935] - Staining of paraffin-embedded Human endometrium tissue using anti-OSBP1 mouse monoclonal antibody.
- Submitted by
- Novus Biologicals (provider)
- Main image

- Experimental details
- Immunohistochemistry-Paraffin: OSBP1 Antibody (1F2) [NBP2-00935] - Staining of paraffin-embedded Human Kidney tissue using anti-OSBP1 mouse monoclonal antibody.
- Submitted by
- Novus Biologicals (provider)
- Main image

- Experimental details
- Immunohistochemistry-Paraffin: OSBP1 Antibody (1F2) [NBP2-00935] - Staining of paraffin-embedded Human pancreas tissue using anti-OSBP1 mouse monoclonal antibody.
- Submitted by
- Novus Biologicals (provider)
- Main image

- Experimental details
- Immunohistochemistry-Paraffin: OSBP1 Antibody (1F2) [NBP2-00935] - Staining of paraffin-embedded Human prostate tissue using anti-OSBP1 mouse monoclonal antibody.
- Submitted by
- Novus Biologicals (provider)
- Main image

- Experimental details
- Immunohistochemistry-Paraffin: OSBP1 Antibody (OTI1F2) [NBP2-00935] - Staining of paraffinembedded Adenocarcinoma of Human endometrium tissue using anti-OSBP mouse monoclonal antibody. (Heat-induced epitope retrieval by 10mM citric buffer, pH6.0, 100 degrees C for 10min, TA503140)
Supportive validation
- Submitted by
- Novus Biologicals (provider)
- Main image

- Experimental details
- Flow Cytometry: OSBP1 Antibody (1F2) [NBP2-00935] - HEK293T cells transfected with either overexpression plasmid (Red) or empty vector control plasmid (Blue) were immunostained by anti-OSBP1 antibody, and then analyzed by flow cytometry.