Antibody data
- Antibody Data
- Antigen structure
- References [2]
- Comments [0]
- Validations
- Western blot [1]
- Immunohistochemistry [2]
Submit
Validation data
Reference
Comment
Report error
- Product number
- 14541-1-AP - Provider product page

- Provider
- Proteintech Group
- Proper citation
- Proteintech Cat#14541-1-AP, RRID:AB_2179293
- Product name
- RBP7 antibody
- Antibody type
- Polyclonal
- Description
- RBP7 antibody (Cat. #14541-1-AP) is a rabbit polyclonal antibody that shows reactivity with human, mouse, rat and has been validated for the following applications: IF, IHC, IP, WB, ELISA.
- Reactivity
- Human, Mouse, Rat
- Host
- Rabbit
- Conjugate
- Unconjugated
- Isotype
- IgG
- Vial size
- 20ul, 150ul
Submitted references Integrated Pan-Cancer Analysis and Experimental Verification of the Roles of Retinoid-Binding Proteins in Breast Cancer.
RBP7 functions as a tumor suppressor in HR + breast cancer by inhibiting the AKT/SREBP1 pathway and reducing fatty acid.
Xiang Y, Du D, Su Y, Guo L, Chen S
Cancers 2025 Nov 19;17(22)
Cancers 2025 Nov 19;17(22)
RBP7 functions as a tumor suppressor in HR + breast cancer by inhibiting the AKT/SREBP1 pathway and reducing fatty acid.
Yu Y, Xu Z, Zhou H, Xu R, Xu J, Liu W, Wu Y, Qiu Y, Zhang G, Huang X, Chen Y
Cancer cell international 2024 Mar 29;24(1):118
Cancer cell international 2024 Mar 29;24(1):118
No comments: Submit comment
Supportive validation
- Submitted by
- Proteintech Group (provider)
- Main image

- Experimental details
- HEK-293 cells were subjected to SDS PAGE followed by western blot with 14541-1-AP(RBP7 antibody) at dilution of 1:1000
- Sample type
- cell line
Supportive validation
- Submitted by
- Proteintech Group (provider)
- Main image

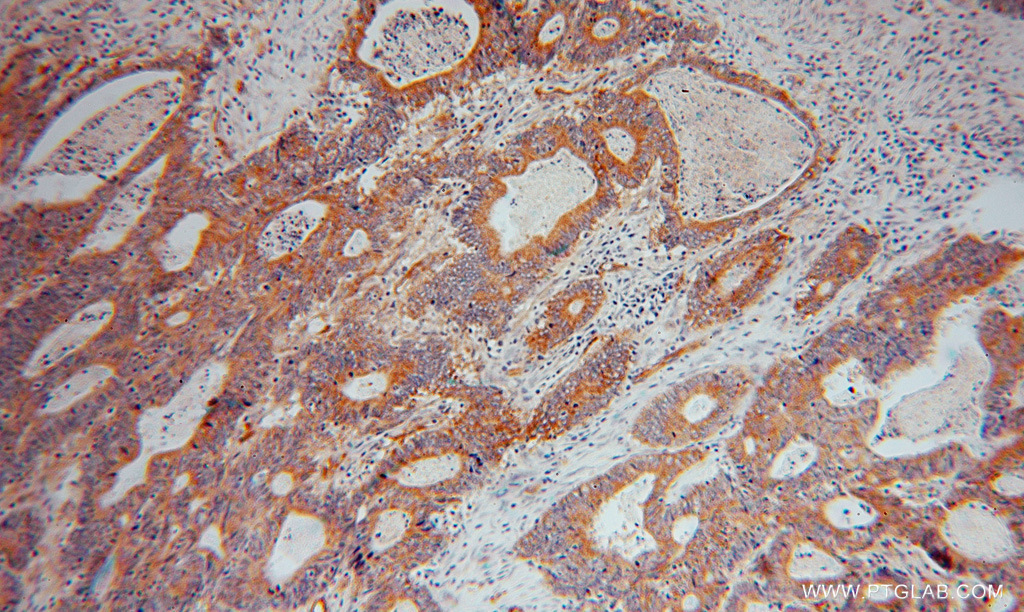
- Experimental details
- Immunohistochemical of paraffin-embedded human colon cancer using 14541-1-AP(RBP7 antibody) at dilution of 1:50 (under 10x lens)
- Sample type
- tissue
- Submitted by
- Proteintech Group (provider)
- Main image

- Experimental details
- The RBP7 antibody from Proteintech is a rabbit polyclonal antibody to a recombinant protein of human RBP7. This antibody recognizes human, mouse, rat antigen. The RBP7 antibody has been validated for the following applications: ELISA, WB, IHC analysis.