Antibody data
- Antibody Data
- Antigen structure
- References [0]
- Comments [0]
- Validations
- Immunocytochemistry [1]
- Immunohistochemistry [6]
Submit
Validation data
Reference
Comment
Report error
- Product number
- PA5-64284 - Provider product page

- Provider
- Invitrogen Antibodies
- Product name
- LSM2 Polyclonal Antibody
- Antibody type
- Polyclonal
- Antigen
- Recombinant protein fragment
- Description
- Immunogen sequence: KNCFIRGSVV RYVQLPADEV DTQLLQDAAR KEALQQKQ Highest antigen sequence identity to the following orthologs: Mouse - 100%, Rat - 100%.
- Reactivity
- Human
- Host
- Rabbit
- Isotype
- IgG
- Vial size
- 100 μL
- Concentration
- 0.2 mg/mL
- Storage
- Store at 4°C short term. For long term storage, store at -20°C, avoiding freeze/thaw cycles.
No comments: Submit comment
Supportive validation
- Submitted by
- Invitrogen Antibodies (provider)
- Main image

- Experimental details
- Immunofluorecent analysis of LSM2 in human cell line SK-MEL-30 using LSM2 Polyclonal Antibody (Product # PA5-64284). Staining shows localization to nucleus.
Supportive validation
- Submitted by
- Invitrogen Antibodies (provider)
- Main image

- Experimental details
- Immunohistochemical analysis of LSM2 in human cerebellum using LSM2 Polyclonal Antibody (Product # PA5-64284) shows strong nuclear positivity in Purkinje cells.
- Submitted by
- Invitrogen Antibodies (provider)
- Main image

- Experimental details
- Immunohistochemical analysis of LSM2 in human cervix using LSM2 Polyclonal Antibody (Product # PA5-64284) shows strong nuclear positivity in squamous epithelial cells.
- Submitted by
- Invitrogen Antibodies (provider)
- Main image

- Experimental details
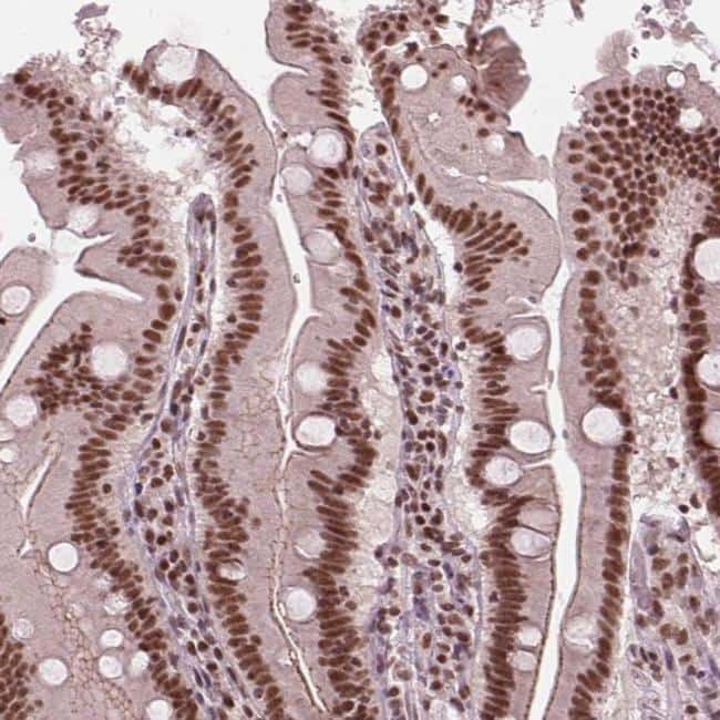
- Immunohistochemical analysis of LSM2 in human colon using LSM2 Polyclonal Antibody (Product # PA5-64284) shows strong nuclear positivity in glandular cells.
- Submitted by
- Invitrogen Antibodies (provider)
- Main image

- Experimental details
- Immunohistochemical analysis of LSM2 in human kidney using LSM2 Polyclonal Antibody (Product # PA5-64284) shows strong nuclear positivity in cells in tubules.
- Submitted by
- Invitrogen Antibodies (provider)
- Main image

- Experimental details
- Immunohistochemical analysis of LSM2 in human cerebellum using LSM2 Polyclonal Antibody (Product # PA5-64284) shows strong nuclear positivity in Purkinje cells.
- Submitted by
- Invitrogen Antibodies (provider)
- Main image

- Experimental details
- Immunohistochemical analysis of LSM2 in human colon using LSM2 Polyclonal Antibody (Product # PA5-64284) shows strong nuclear positivity in glandular cells.