Antibody data
- Antibody Data
- Antigen structure
- References [0]
- Comments [0]
- Validations
- Western blot [2]
- Immunohistochemistry [8]
Submit
Validation data
Reference
Comment
Report error
- Product number
- NBP2-52917 - Provider product page

- Provider
- Novus Biologicals
- Product name
- Mouse Monoclonal GDF-15 Antibody
- Antibody type
- Monoclonal
- Description
- Protein A purified. Specificity of human GDF-15 antibody verified on a Protein Array containing target protein plus 383 other non-specific proteins.
- Reactivity
- Human
- Host
- Mouse
- Antigen sequence
NQSWEDSNTD- Isotype
- IgG
- Vial size
- 0.1 ml
- Storage
- Store at 4C short term. Aliquot and store at -20C long term. Avoid freeze-thaw cycles.
No comments: Submit comment
Supportive validation
- Submitted by
- Novus Biologicals (provider)
- Main image

- Experimental details
- Western Blot: GDF-15 Antibody (CL0328) [NBP2-52917] - Analysis in RT-4 cells transfected with control siRNA, target specific siRNA probe #1 and #2, using Anti-GDF15 antibody. Remaining relative intensity is presented. Loading control: Anti-PPIB.
- Submitted by
- Novus Biologicals (provider)
- Main image

- Experimental details
- Western Blot: GDF-15 Antibody (CL0328) [NBP2-52917] - Lane 1: Marker [kDa] Lane 2: Human cell line RT-4
Supportive validation
- Submitted by
- Novus Biologicals (provider)
- Main image

- Experimental details
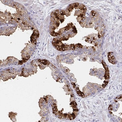
- Immunohistochemistry-Paraffin: GDF-15 Antibody (CL0328) [NBP2-52917] - Staining of human prostate shows moderate positivity in a subset of glandular epithelium cells.
- Submitted by
- Novus Biologicals (provider)
- Main image

- Experimental details
- Immunohistochemistry-Paraffin: GDF-15 Antibody (CL0328) [NBP2-52917] - Staining of human rectum shows strong immunoreactivity in a subset of glandular cells.
- Submitted by
- Novus Biologicals (provider)
- Main image

- Experimental details
- Immunohistochemistry-Paraffin: GDF-15 Antibody (CL0328) [NBP2-52917] - Staining of human placenta shows strong immunoreactivity in the trophoblast layer.
- Submitted by
- Novus Biologicals (provider)
- Main image

- Experimental details
- Immunohistochemistry-Paraffin: GDF-15 Antibody (CL0328) [NBP2-52917] - Staining of human placenta shows moderate granular cytoplasmic positivity in trophoblastic cells.
- Submitted by
- Novus Biologicals (provider)
- Main image

- Experimental details
- Immunohistochemistry-Paraffin: GDF-15 Antibody (CL0328) [NBP2-52917] - Staining of human prostate shows strong granular cytoplasmic positivity in a subset of glandular cells.
- Submitted by
- Novus Biologicals (provider)
- Main image

- Experimental details
- Immunohistochemistry-Paraffin: GDF-15 Antibody (CL0328) [NBP2-52917] - Staining of human rectum shows strong cytoplasmic positivity in enteroendocrine cells.
- Submitted by
- Novus Biologicals (provider)
- Main image

- Experimental details
- Immunohistochemistry-Paraffin: GDF-15 Antibody (CL0328) [NBP2-52917] - Staining of human skeletal muscle shows no positivity in myocytes as expected.
- Submitted by
- Novus Biologicals (provider)
- Main image

- Experimental details
- Immunohistochemistry-Paraffin: GDF-15 Antibody (CL0328) [NBP2-52917] - Staining in human placenta and skeletal muscle tissues using NBP2-52917 antibody. Corresponding GDF15 RNA-seq data are presented for the same tissues.