Antibody data
- Antibody Data
 - Antigen structure
 - References [2]
 - Comments [0]
 - Validations
 - Immunohistochemistry [1]
 
Submit
Validation data
Reference
Comment
Report error
- Product number
 - bs-0244R - Provider product page

 - Provider
 - Bioss
 - Product name
 - Rabbit Anti-HSP70 Polyclonal Antibody
 - Antibody type
 - Polyclonal
 - Antigen
 - HSP70
 - Description
 - Purified by Protein A.
 - Reactivity
 - Human, Mouse, Rat
 - Host
 - Rabbit
 - Conjugate
 - Unconjugated
 - Isotype
 - IgG
 - Vial size
 - 100ul
 - Concentration
 - 1ug/ul
 - Storage
 - Aqueous buffered solution containing 100ug/ml BSA, 50% glycerol and 0.09% sodium azide. Store at -20°C for 12 months.
 
Submitted references		A Bayesian Framework for Generalized Linear Mixed Modeling Identifies New Candidate Loci for Late-Onset Alzheimer's Disease.
				
Anti-Oxidative Stress Activity Is Essential for Amanita caesarea Mediated Neuroprotection on Glutamate-Induced Apoptotic HT22 Cells and an Alzheimer's Disease Mouse Model.
				
		
	
			Wang X, Philip VM, Ananda G, White CC, Malhotra A, Michalski PJ, Karuturi KRM, Chintalapudi SR, Acklin C, Sasner M, Bennett DA, De Jager PL, Howell GR, Carter GW
Genetics 2018 May;209(1):51-64
		Genetics 2018 May;209(1):51-64
Anti-Oxidative Stress Activity Is Essential for Amanita caesarea Mediated Neuroprotection on Glutamate-Induced Apoptotic HT22 Cells and an Alzheimer's Disease Mouse Model.
			Li Z, Chen X, Lu W, Zhang S, Guan X, Li Z, Wang D
International journal of molecular sciences 2017 Jul 27;18(8)
		International journal of molecular sciences 2017 Jul 27;18(8)
				No comments: Submit comment	
	
			
							
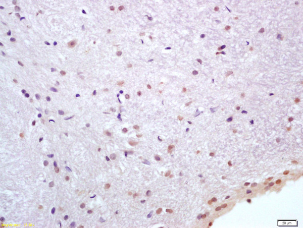
					Supportive validation
					
									
				
		- Submitted by
 - Bioss (provider)
 - Main image
 
- Experimental details
 - Formalin-fixed and paraffin embedded rat brain labeled with Anti-HSP70/HSPA1A Polyclonal Antibody, Unconjugated (bs-0244R) at 1:200 followed by conjugation to the secondary antibody and DAB staining
 - Sample type
 - Rat
 - Other comments
 - Brain