Antibody data
- Antibody Data
 - Antigen structure
 - References [0]
 - Comments [0]
 - Validations
 - Western blot [3]
 - Immunocytochemistry [1]
 - Immunohistochemistry [2]
 - Flow cytometry [1]
 
Submit
Validation data
Reference
Comment
Report error
- Product number
 - CF500772 - Provider product page

 - Provider
 - Invitrogen Antibodies
 - Product name
 - HSPA1A Monoclonal Antibody (OTI3C6), TrueMAB™
 - Antibody type
 - Monoclonal
 - Antigen
 - Recombinant full-length protein
 - Reactivity
 - Human, Canine
 - Host
 - Mouse
 - Isotype
 - IgG
 - Antibody clone number
 - OTI3C6
 - Vial size
 - 100 µg
 - Concentration
 - 1 mg/mL
 - Storage
 - -20° C, Avoid Freeze/Thaw Cycles
 
				No comments: Submit comment	
	
			
							
					Supportive validation
					
									
				
				- Submitted by
 - Invitrogen Antibodies (provider)
 - Main image
 
- Experimental details
 - HEK293T cells were transfected with the pCMV6-ENTRY control (Left lane) or pCMV6-ENTRY HSPA1A (RC200270, Right lane) cDNA for 48 hrs and lysed. Equivalent amounts of cell lysates (5 µg per lane) were separated by SDS-PAGE and immunoblotted with anti-HSPA1. Positive lysates LY401646 (100 µg) and LC401646 (20 µg) can be purchased separately from OriGene.
 
- Submitted by
 - Invitrogen Antibodies (provider)
 - Main image
 
- Experimental details
 - HEK293T cells were transfected with the pCMV6-ENTRY control (Left lane) or pCMV6-ENTRY HSPA1A (RC200270, Right lane) cDNA for 48 hrs and lysed. Equivalent amounts of cell lysates (5 µg per lane) were separated by SDS-PAGE and immunoblotted with anti-HSPA1. Positive lysates LY401646 (100 µg) and LC401646 (20 µg) can be purchased separately from OriGene.
 
- Submitted by
 - Invitrogen Antibodies (provider)
 - Main image
 
- Experimental details
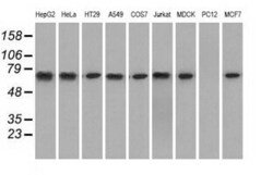
 - Western blot analysis of extracts (35 µg) from 9 different cell lines by using anti-HSPA1A monoclonal antibody.
 
							
					Supportive validation
					
									
				
				- Submitted by
 - Invitrogen Antibodies (provider)
 - Main image
 
- Experimental details
 - Anti-HSPA1A mouse monoclonal antibody (TA500772) Immunofluorescent staining of COS7 cells transiently transfected by pCMV6-ENTRY HSPA1A(RC200270).
 
							
					Supportive validation
					
									
				
				- Submitted by
 - Invitrogen Antibodies (provider)
 - Main image
 
- Experimental details
 - Immunohistochemical staining of paraffin-embedded Adenocarcinoma of Human colon tissue using anti-HSPA1A mouse monoclonal antibody. (Heat-induced epitope retrieval by 10mM citric buffer, pH6.0, 100°C for 10min, TA500772, Dilution 1:50)
 
- Submitted by
 - Invitrogen Antibodies (provider)
 - Main image
 
- Experimental details
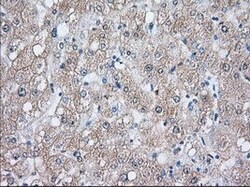
 - Immunohistochemical staining of paraffin-embedded human liver tissue within the normal limits using anti-HSPA1A mouse monoclonal antibody. (Heat-induced epitope retrieval by 10mM citric buffer, pH6.0, 100°C for 10min, TA500772, Dilution 1:50)
 
							
					Supportive validation
					
									
				
		- Submitted by
 - Invitrogen Antibodies (provider)
 - Main image
 
- Experimental details
 - Flow cytometric analysis of Hela cells, using anti-HSPA1A antibody (TA500772), (Red), compared to a nonspecific negative control antibody (TA50011), (Blue).