Antibody data
- Antibody Data
- Antigen structure
- References [0]
- Comments [0]
- Validations
- Western blot [2]
- Immunohistochemistry [2]
Submit
Validation data
Reference
Comment
Report error
- Product number
- LS-C186277 - Provider product page

- Provider
- LSBio
- Product name
- HHIP / HIP Antibody (aa263-554) LS-C186277
- Antibody type
- Polyclonal
- Description
- Immunoaffinity purified
- Reactivity
- Human
- Host
- Rabbit
- Isotype
- IgG
- Storage
- Keep as concentrated solution. Aliquot and store at -20°C or below. Avoid multiple freeze-thaw cycles.
No comments: Submit comment
Enhanced validation
- Submitted by
- LSBio (provider)
- Enhanced method
- Genetic validation
- Main image

- Experimental details
- Sample (50 ug of whole cell lysate). A: Mouse brain. 7.5% SDS PAGE. HHIP / HIP antibody diluted at 1:1000.
- Submitted by
- LSBio (provider)
- Enhanced method
- Genetic validation
- Main image

- Experimental details
- Sample (30 ug of whole cell lysate). A: A431 . 7.5% SDS PAGE. HHIP / HIP antibody diluted at 1:1000.
Supportive validation
- Submitted by
- LSBio (provider)
- Enhanced method
- Genetic validation
- Main image

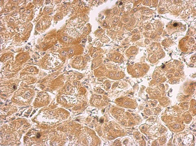
- Experimental details
- HHIP antibody [N3C2], Internal detects HHIP protein at cytosol on hepatoma by immunohistochemical analysis. Sample: Paraffin-embedded hepatoma. HHIP antibody [N3C2], Internal dilution:1:500.
- Submitted by
- LSBio (provider)
- Enhanced method
- Genetic validation
- Main image

- Experimental details
- HHIP antibody [N3C2], Internal detects HHIP protein at cytosol on hepatoma by immunohistochemical analysis. Sample: Paraffin-embedded hepatoma. HHIP antibody [N3C2], Internal dilution:1:500.