Antibody data
- Antibody Data
- Antigen structure
- References [0]
- Comments [0]
- Validations
- Western blot [3]
- Immunohistochemistry [1]
Submit
Validation data
Reference
Comment
Report error
- Product number
- ABIN520617 - Provider product page

- Provider
- antibodies-online
- Product name
- anti-Sulfite Oxidase (SUOX) (AA 1-488), (full length) antibody
- Antibody type
- Polyclonal
- Reactivity
- Human
- Host
- Mouse
- Epitope
- AA 1-488, full length
- Vial size
- 50 μg
- Storage
- Store at -20°C or lower. Aliquot to avoid repeated freezing and thawing.
- Handling
- Aliquot to avoid repeated freezing and thawing.
No comments: Submit comment
Supportive validation
- Submitted by
- antibodies-online (provider)
- Main image

- Experimental details
- WB
- Submitted by
- antibodies-online (provider)
- Main image

- Experimental details
- WB
- Submitted by
- antibodies-online (provider)
- Main image

- Experimental details
- WB
Supportive validation
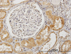
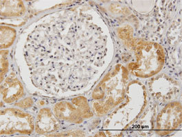
- Submitted by
- antibodies-online (provider)
- Main image

- Experimental details
- IHC