Antibody data
- Antibody Data
- Antigen structure
- References [0]
- Comments [0]
- Validations
- Western blot [2]
- Immunohistochemistry [8]
Submit
Validation data
Reference
Comment
Report error
- Product number
- NBP2-48736 - Provider product page

- Provider
- Novus Biologicals
- Product name
- Rabbit Polyclonal Fumarylacetoacetate hydrolase Antibody
- Antibody type
- Polyclonal
- Description
- Immunogen affinity purified. Specificity of human Fumarylacetoacetate hydrolase antibody verified on a Protein Array containing target protein plus 383 other non-specific proteins.
- Reactivity
- Human
- Host
- Rabbit
- Isotype
- IgG
- Vial size
- 0.1 ml
- Storage
- Store at 4C short term. Aliquot and store at -20C long term. Avoid freeze-thaw cycles.
No comments: Submit comment
Supportive validation
- Submitted by
- Novus Biologicals (provider)
- Main image

- Experimental details
- Western Blot: Fumarylacetoacetate hydrolase Antibody [NBP2-48736] - Lane 1: Marker [kDa] 250, 130, 95, 72, 55, 36, 28, 17, 10 Lane 2: Human cell line RT-4 Lane 3: Human cell line U-251MG sp Lane 4: Human plasma (IgG/HSA depleted) Lane 5: Human liver tissue
- Submitted by
- Novus Biologicals (provider)
- Main image

- Experimental details
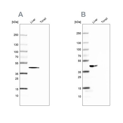
- Western Blot: Fumarylacetoacetate hydrolase Antibody [NBP2-48736] - Analysis using Anti-FAH antibody NBP2-48736 (A) shows similar pattern to independent antibody NBP2-48807 (B).
Supportive validation
- Submitted by
- Novus Biologicals (provider)
- Main image

- Experimental details
- Immunohistochemistry-Paraffin: Fumarylacetoacetate hydrolase Antibody [NBP2-48736] - Staining of human liver shows high expression.
- Submitted by
- Novus Biologicals (provider)
- Main image

- Experimental details
- Immunohistochemistry-Paraffin: Fumarylacetoacetate hydrolase Antibody [NBP2-48736] - Staining of human pancreas shows low expression as expected.
- Submitted by
- Novus Biologicals (provider)
- Main image

- Experimental details
- Immunohistochemistry-Paraffin: Fumarylacetoacetate hydrolase Antibody [NBP2-48736] - Staining in human liver and pancreas tissues using anti-FAH antibody. Corresponding FAH RNA-seq data are presented for the same tissues.
- Submitted by
- Novus Biologicals (provider)
- Main image

- Experimental details
- Immunohistochemistry-Paraffin: Fumarylacetoacetate hydrolase Antibody [NBP2-48736] - Staining of human cerebral cortex, liver, pancreas and testis using Anti-FAH antibody NBP2-48736 (A) shows similar protein distribution across tissues to independent antibody NBP2-48807 (B).
- Submitted by
- Novus Biologicals (provider)
- Main image

- Experimental details
- Immunohistochemistry-Paraffin: Fumarylacetoacetate hydrolase Antibody [NBP2-48736] - Staining of human testis.
- Submitted by
- Novus Biologicals (provider)
- Main image

- Experimental details
- Immunohistochemistry-Paraffin: Fumarylacetoacetate hydrolase Antibody [NBP2-48736] - Staining of human pancreas using Anti-FAH antibody NBP2-48736.
- Submitted by
- Novus Biologicals (provider)
- Main image

- Experimental details
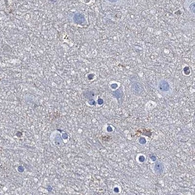
- Immunohistochemistry-Paraffin: Fumarylacetoacetate hydrolase Antibody [NBP2-48736] - Staining of human cerebral cortex.
- Submitted by
- Novus Biologicals (provider)
- Main image

- Experimental details
- Immunohistochemistry-Paraffin: Fumarylacetoacetate hydrolase Antibody [NBP2-48736] - Staining of human liver using Anti-FAH antibody NBP2-48736.